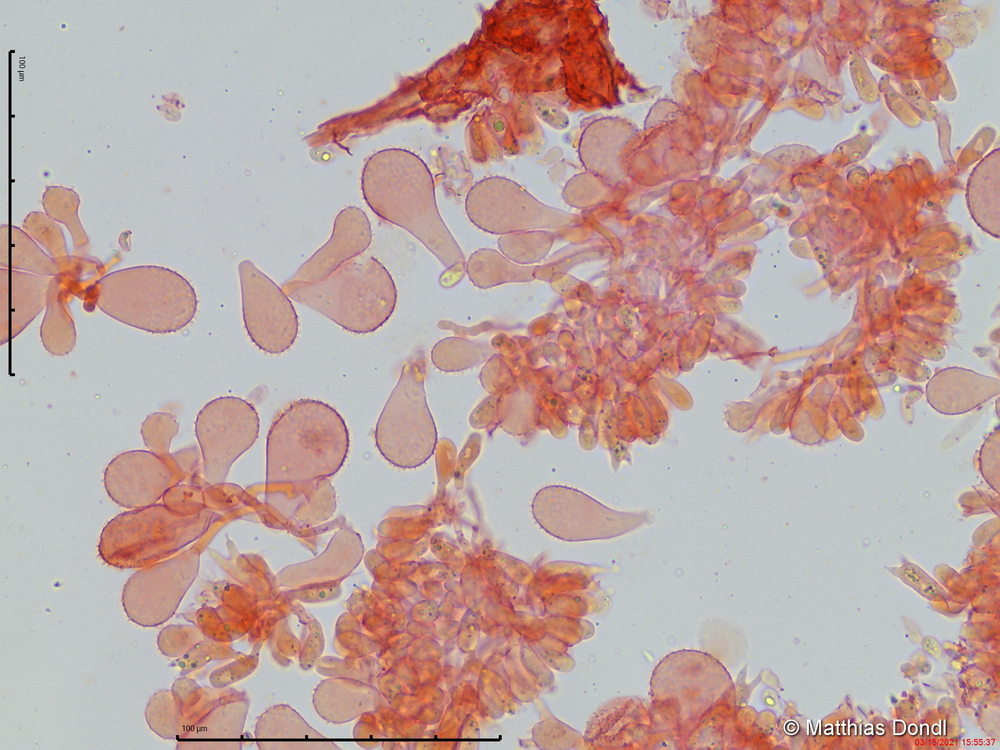
Mycena metata (Fr.) P. Kumm.
Cheilozystiden