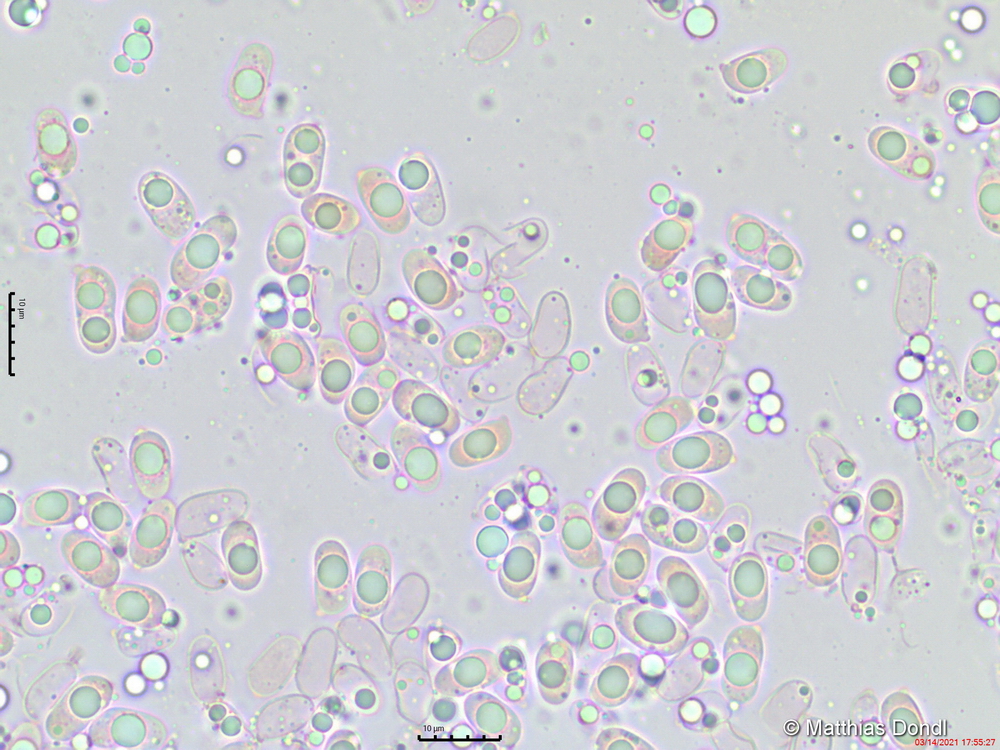
Mycena abramsii (Murill) Murill
Sporen in Kongo (Abwurf)

Foto