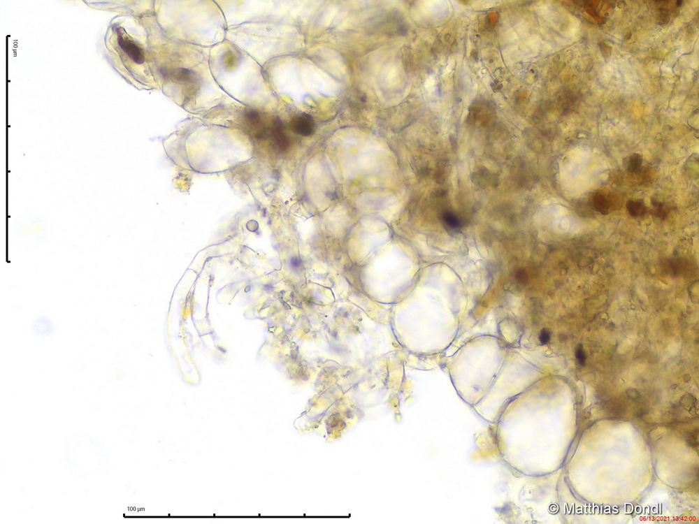
Peziza montirivicola Perić
Ektales Excipulum

Foto