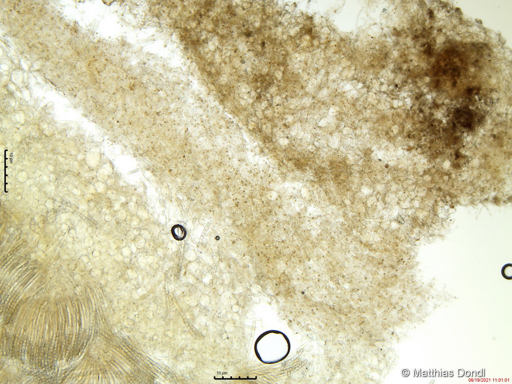
Peziza montirivicola Perić
Querschnitt, 2-schichtiges medullares Excipulum und ektales Excipulum

Foto