Cortinarius lucandii Bidaud, Carteret & Reumaux
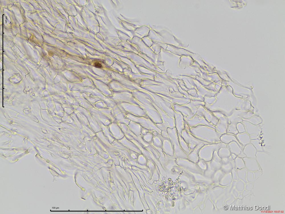
HDS

Foto