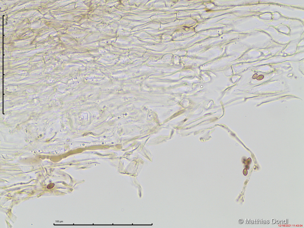
Cortinarius phaeosmus Rob. Henry
HDS

Foto