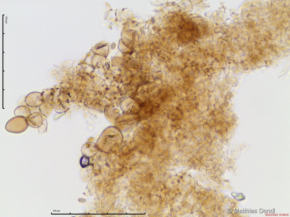
Flammulaster granulosus (J.E. Lange) Watling
HDS

Foto