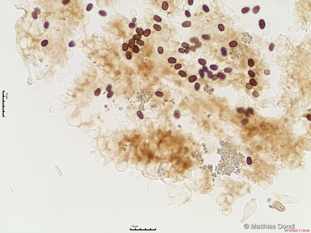
Psathyrella panaeoloides (Maire) Arnolds
Lamellenschneide in Ammoniak

Foto