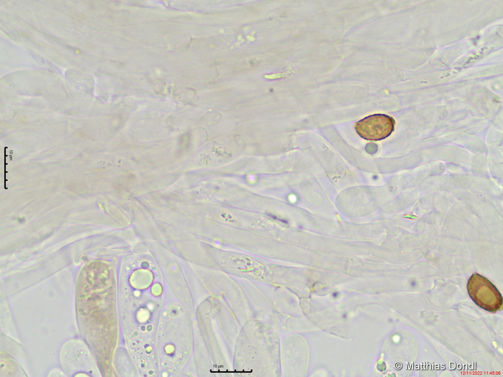
Cortinarius subserratissimus Kytöv., Liimat. & Niskanen
Lamellentrama

Foto