Cortinarius lividoochraceus (Berk.) Berk.
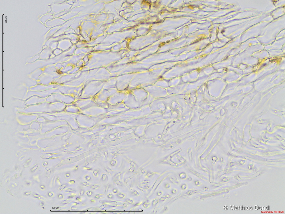
HDS