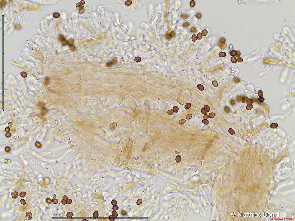
Cortinarius hinnuleus Fr.
Lamellentrama

Foto