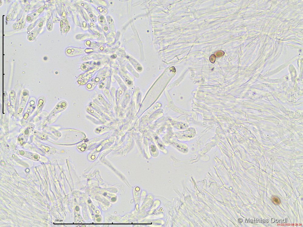
Inocybe terrifera Kühner
Pleurozystiden

Foto