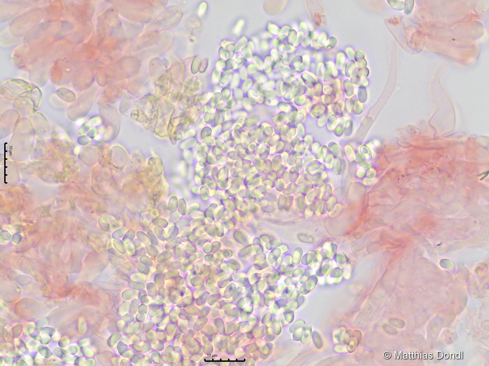
Cystolepiota moelleri Knudsen
Sporen im Lamellenpräparat (in Kongo)

Foto