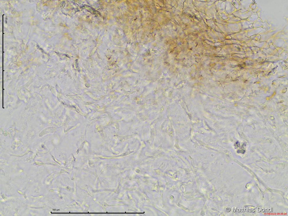
Cortinarius cf. vibratilis (Fr.: Fr.) Fr. ss. Kytövuori & Niskanen, Moser
HDS

Foto