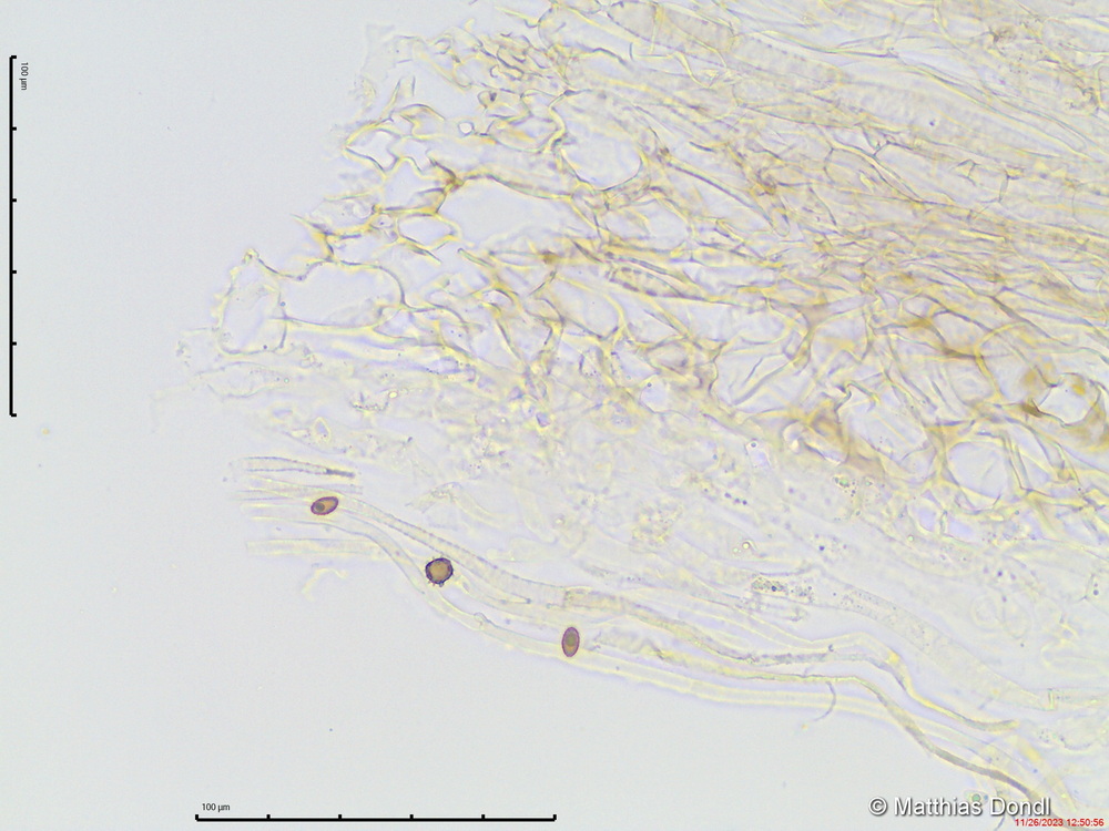
Cortinarius leiocastaneus Niskanen, Liimat. & Soop
HDS

Foto