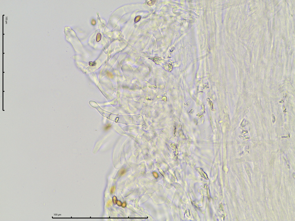
Inocybe sendlingensis
Stielbereifung apikal

Foto