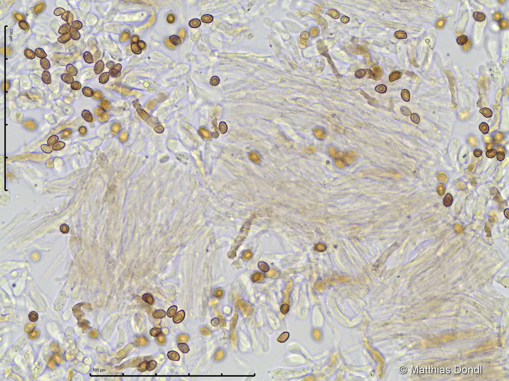
Cortinarius milvinicolor Moenne-Locc. & Reumaux
Trama und Basidien

Foto