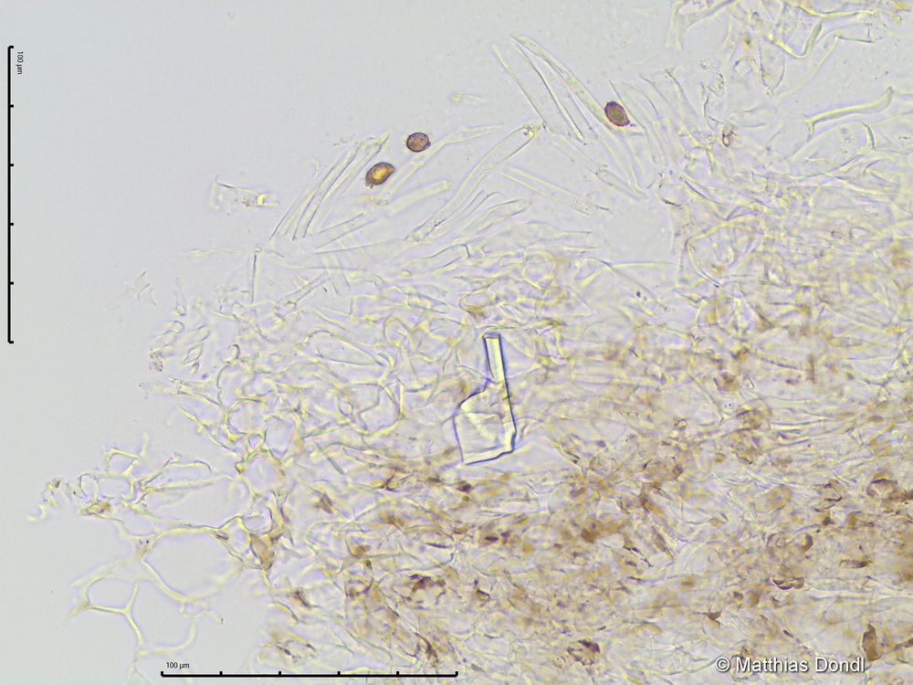
Cortinarius aff. epipurrus Chevassut & Rob. Henry
HDS

Foto