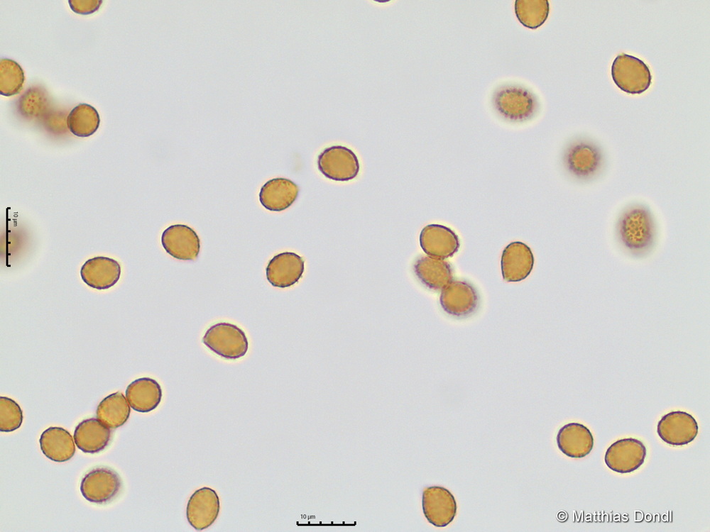
Cortinarius lepidopus Cooke
Sporen (Abwurf) in Melzers

Foto