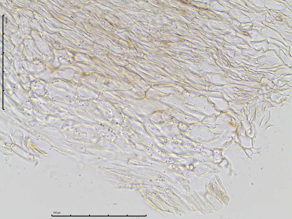
Cortinarius suboxytoneus Bidaud
HDS

Foto