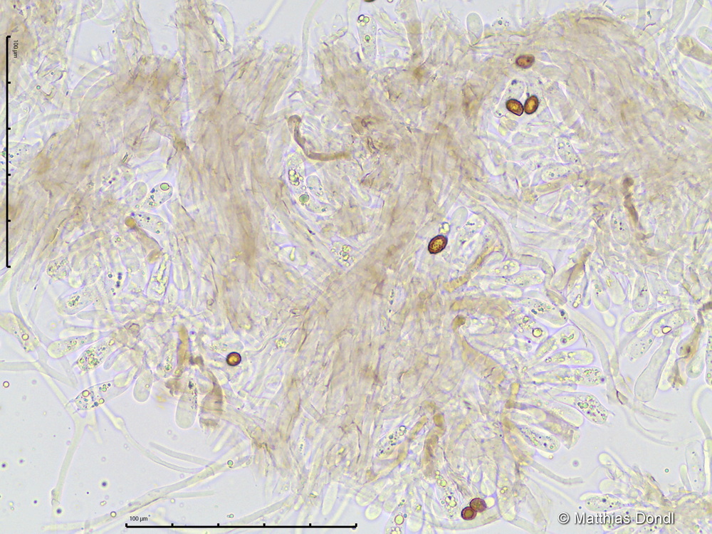
Cortinarius basiroseus P.D. Orton
Trama und Basidien

Foto