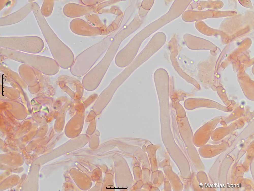
Hebeloma velutipes Bruchet
Cheilozystiden