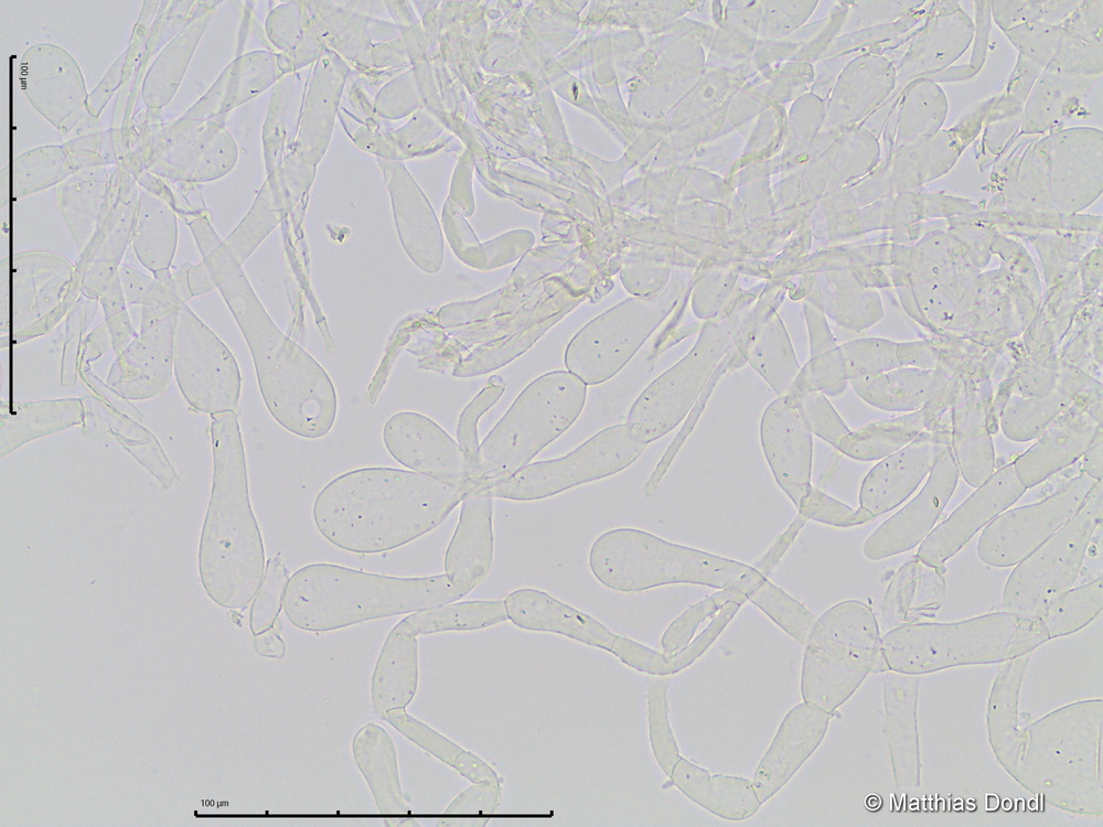
Pseudosperma conviviale Cervini, Bizio & P. Alvarado
Stielbereifung (apikal)

Foto