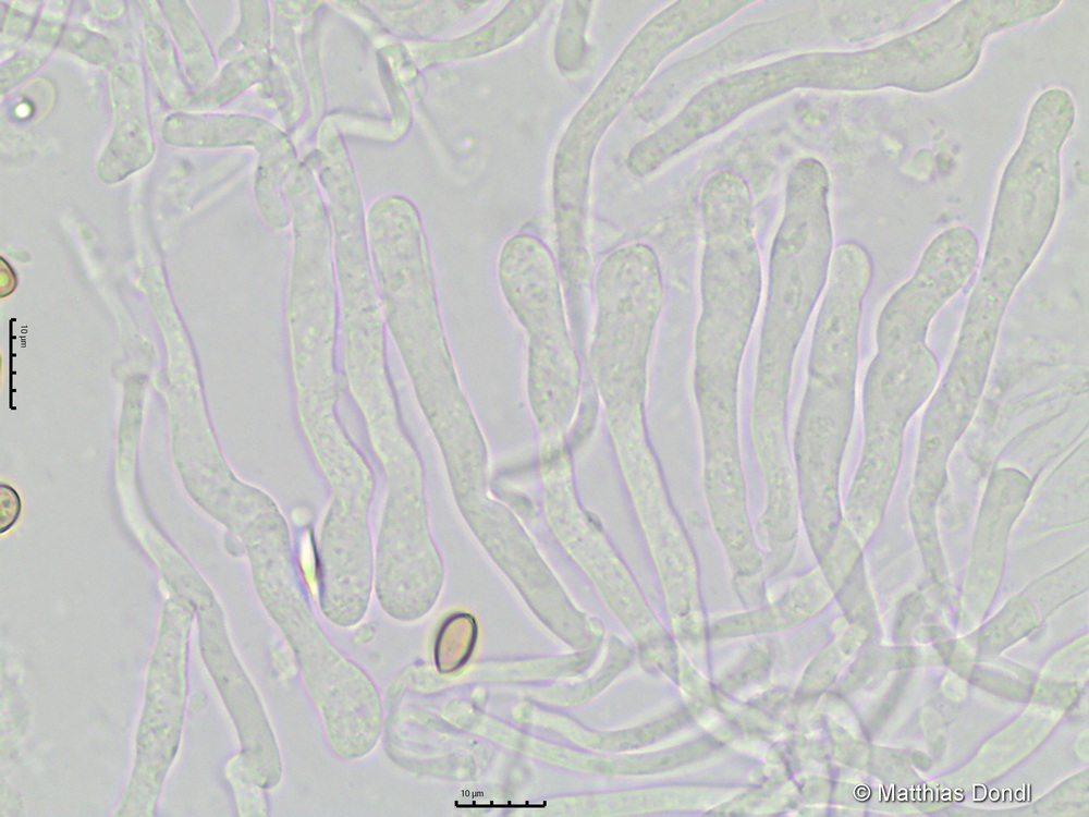
Simocybe cf. centunculus var. filopes (Romagn.) Senn-Irlet
Cheilozystiden

Foto