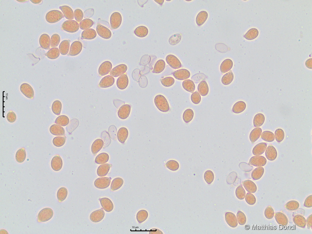
Infundibulicybe glareosa (Röllin & Monthoux) Harmaja
Sporen (Abwurf) in Kongo

Foto