Cortinarius spec.
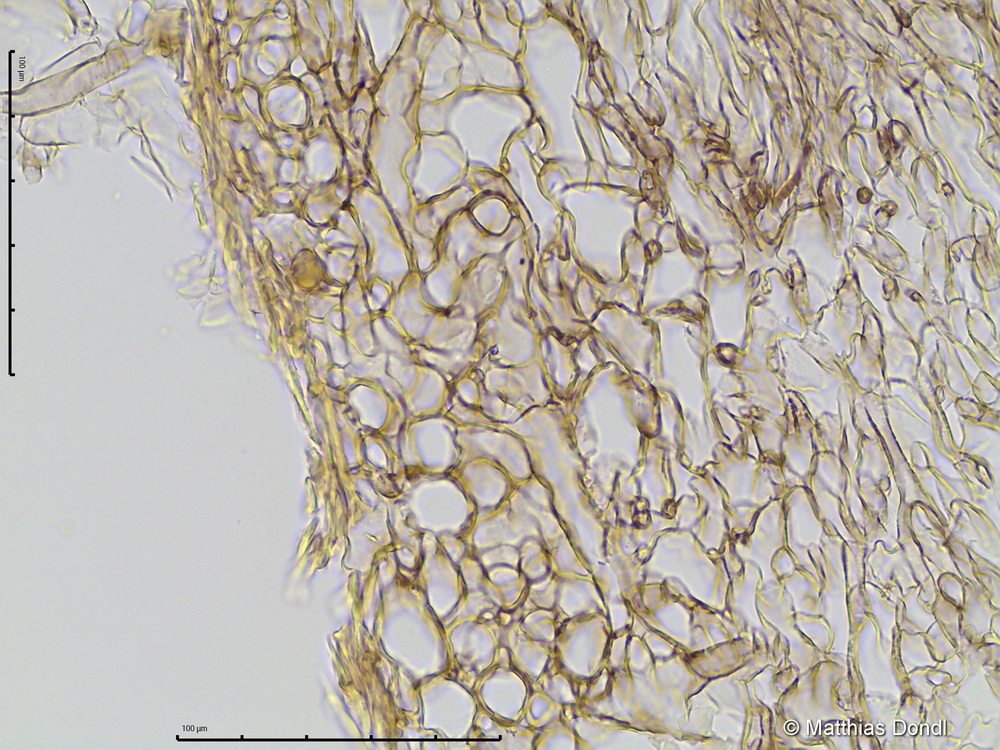
HDS

Foto