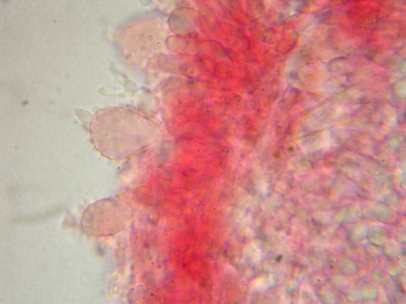
Mycena latifolia (Peck) A. H. Sm.
Cheilozystiden