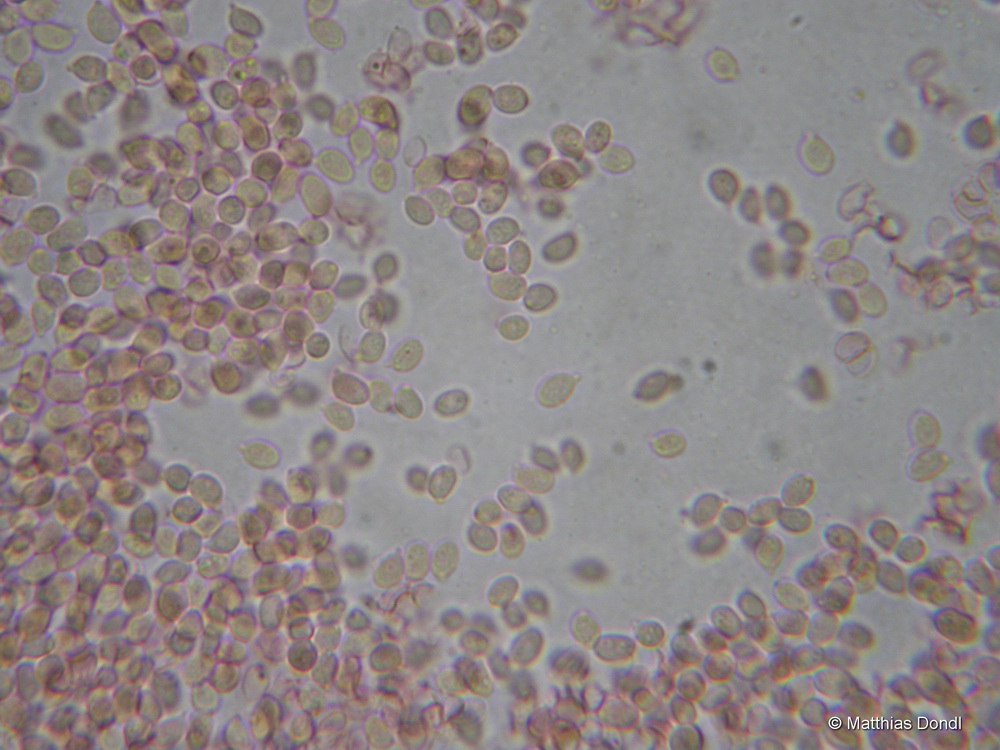
Clitocybe spec.
Sporen