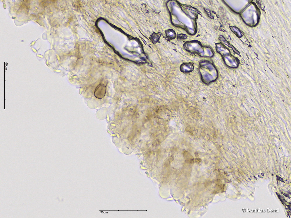
Lepiota cristata (Bolton: Fr.) P. Kumm.
HDS