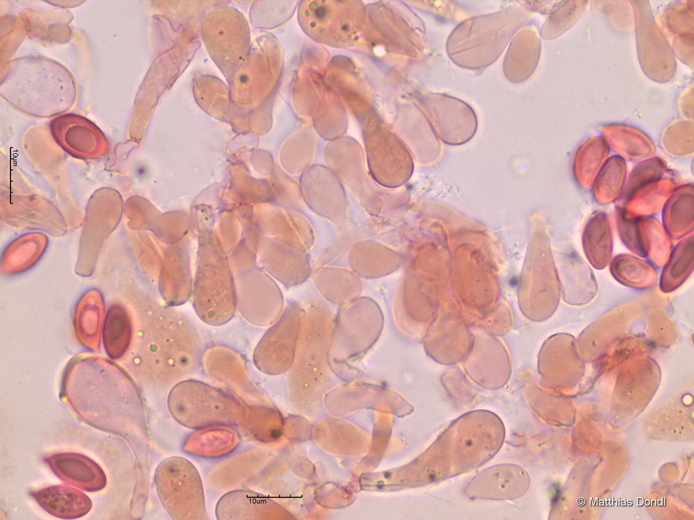
Lepiota ignivolvata Bousset & Joss.
Lamellenschneide