Tricholomataceae 2013
Nr. 1: Callistosporium pinicola Arnolds
Zur Bestimmung: Mit FN und Kompendium bestimmt. Durch die winzigen Sporen klar festgelegt. Interessanterweise gibt Ludwig an, dass bei seinen Kollektionen die Lamellentrama purpurn verfärbt (in Ammoniak), während diese bei der vorliegenden Kollektion in KOH gelb ist und die purpurbraune Verfärbung auf das Hymenium beschränkt ist.
|
Funddaten: 25.09.2013; Fundort: MTB 8234-4-2-3, ca. 1050 m; D - By - Bad Heilbrunn, Stallauer Eck (Flyschzone), im Bergmischwald (Tanne, Fichte, Buche), an finalmorschem Nadelholzstammstück; gesellig (4-5 Fk);
Hut: bis 1 cm breit, gewölbt, trocken, glatt, bisw. schwach glimmerig bereift, dunkelbraun, olivbraun;
Stiel: bis 2,3 x 0,2 cm, basal gleichdick, ockerbraun, apikal feinwollig bereift, sonst schwach überfasert;
Lamellen: steil aufsteigend und breit angewachsen, lebhaft olivgelb, gedrängt, ziemlich dick; Schneiden gleichfarbig und glatt;
Fleisch: siehe Schnittbild;
Geruch: schwach mehlig (?);
Geschmack: mild;
Sporenpulver: weißlich (Abwurf dünn);
Mikromerkmale vom Exsikkat:
HDS: Cutis, Zellen bisw. schwach dickwandig, ohne Schnallen; Pigment blass intrazellulär braun und schwach inkrustierend (möglicherweise Dickwandpigment);
Lamellentrama: im Quetschpräparat gelb pigmentiert;
Basidien: 4-sporig, ohne Schnallen, ca. 18-23 x 4,5-5; Hymenium in KOH mit purpurbraunen Pigmentklumpen, in der Gesamtsicht so purpurbräunlich verfärbt;
Sporen: subglobos, hyalin, Maße: 3,1 x 2,6 (2,8-3,7 x 2,4-2,9), Q=1,19, 20 Sp. gemessen;
|
Nr. 2: Clitocybe phaeophthalma (Pers.) Kuyper
Zur Bestimmung: Mit FN und Gröger bestimmt, im Kompendium verglichen. Aufgrund der Physaliden in der HDS völlig eindeutig. Erstaunlich aber, dass die "Dornen" am Hutrand in der Literatur nicht erwähnt werden.
|
Funddaten: 03.09.2013; Fundort: MTB 8139-2-2-3, 560 m; Bad Endorf, Antwort, Antworter Berg, würmeiszeitlicher Moränenhügel, Mischwald (Fichte, Tanne, Buche), bei großen Tannen und Buchen (weiter weg auch Fichte) in Nadelstreu mit eingemischtem Laub; gesellig bis kleinbüschelig auf mehreren Quadratmetern verstreut;
Hut: 1,5 - 4 cm breit, jung genabelt, dann tief trichterig mit kurz herabgebogenem Rand, Oberfläche trocken und glatt, matt, ungerieft, bei älteren Fk auch sporadisch aufschuppend, Hutrand jedoch dicht mit dornartigen Härchen besetzt (sehr auffallendes Merkmal bei allen Fk); satt cremefarben bis elfenbeinfarben, stark hygrophan, zu hell cremeweiß ausblassend (vom Zentrum her), Rand lange dunkler bleibend;
Stiel: bis 3 x 0,6 cm, zylindrisch, basal meist weißfilzig, zur Spitze hin verbreitert, längsfaserig, sonst glatt, hutfarben;
Lamellen: weit herablaufend, sehr gedrängt, hutfarben (satt creme bis elfenbein), Schneiden gleichfarbig und glatt;
Fleisch: hell cremeweiß;
Geruch: schwach ranzig mit süßlicher, vielleicht an Fenchel erinnernder Komponente;
Geschmack: ziemlich stark bitter und ranzig;
Sporenpulver: weißlich (Abwurf schwach);
Mikromerkmale vom Exsikkat:
HDS: Cutis aus schmalen Zellen (um 3 µm), dazwischen aufgeblasene, weinschlauchförmige Zellen (Physaliden), diese ca. 25-50 x 13-17, mit Schnallen;
Sporen: tropfen- bis apfelkernförmig, hyalin, kongophil, Maße: 5,5 x 3,6 (4,9-6,1 x 3,3-3,8), Q=1,56, 20 Sp. gemessen;
|
Nr. 3: Clitocybe cf. metachroa (Fr.) P. Kumm.
Zur Bestimmung: Mit Gröger und FN geschlüsselt. Trotz der zur Basis hin kaum dunkler werdenden Stiele sehe ich kaum eine Alternative zu der Bestimmung. Wg. der schwierigen Taxonomie setzt ich mal ein cf. dazu.
|
Funddaten: 21.09.2013; Fundort: MTB 8533-4-1-1, ca. 1100 m; D-By-Mittenwald, Kranzbergregion, bodensauerer, magerer, trockener Buchen-Hutewald (wohl Schafbeweidung) mit viel Heide und Heidelbeere auf Hauptdolomit (möglicherweise auch würmeiszeitliche Fernmoräne), bei großen Buchen am Hang in der Laubstreu; gesellig bis kleinbüschelig (>10 Fk);
Hut: 2 - 3,8 cm breit, flach gewölbt, in der Mitte meist schwach vertieft, manchmal nur angedeutet, Oberfläche glatt, matt, ungestreift, graubraun bis olivbraun (RAL), am Hutrand meist glimmerig bereift, hygrophan, cremebeige ausblassend (konzentrisch zonig);
Stiel: bis 5,5 x 0,6 cm, zylindrisch, hohl, basal oft stark gekniet und schwach spindelig erweitert, auf blass graubeigem Grund weißlich überfasert;
Lamellen: ausgebuchtet bis gerade angewachsen, höchstens minimal herablaufend (eher habituell bei jüngeren Fk), kieselgrau (RAL), cremegrau bis beigegrau, am Grund und auch vertikal an den Flächen etwas aderig;
Fleisch: im Hutkern weiß, sonst wässrig grau;
Geruch: deutlich aromatisch-säuerlich;
Geschmack: mild, ranzig-fad;
Mikromerkmale vom Exsikkat:
HDS: Cutis, Zellen +/- glatt, zylindrische, gelegentlich schwach verzweigte Endzellen beobachtet, mit Schnallen; Pigment nicht inkrustierend, sehr blass;
Basidien: 4-sporig, mit Schnallen;
Sporen: schmal ellipsoid bis subzylindrisch, nicht kongophil, nicht verklumpend in Kongo, Maße: 7,1 x 3,7 (6,1-8,5 x 3,5-4,1), Q=1,90, 20 Sp. gemessen;
|
Nr. 4: Clitocybe cf. metachroa (Fr.) P. Kumm.
Zur Bestimmung: Mit Gröger und FN geschlüsselt. Aufgrund der nur sporadisch genabelten Hüte bin ich nicht sicher, ob es wirklich eine Clitocybe ist, obwohl ich das vom Gefühl her schon meinen würde und auch der Gröger-Gattungsschlüssel zu Clitocybe führt. Abweichend sind auf jeden Fall die auffallend schlanken Sporen. Ökologie und Farben würden auch ganz gut zu C. subspadicea passen, die jedoch nach Gröger wesentlich gedrungenere Sporen aufweist. Es besteht eine gewisse Ähnlichkeit zur Kollektion Nr. 3 vom 21.09.2013 aus Mittenwald.
|
Funddaten: 25.09.2013; Fundort: MTB 8234-4-2-1, ca. 880 m; D - By - Bad Heilbrunn, wohl noch in der Helvetikumzone, im Bergmischwald (Tanne, Fichte, Buche), an einer nordexponierten, feuchten Böschung in gemischter Laubstreu von Buche und Haselnuss; gesellig (>20 Fk);
Hut: 2-3,2 cm breit, jung abgerundet konisch, dann flach gewölbt, zuletzt flach ausgebreitet, nicht oder schwach gebuckelt, jedoch nur gelegentlich schwach vertieft, trocken, glatt, matt, unbereift, in der Mitte feinst radialrunzelig (Bino), nur am Rand durchscheinend gestreift, hygrophan, frisch olivbraun mit dunkelbrauner Scheibe, zum Rand hin heller; ausgeblasst beige bis cremeweiß;
Stiel: bis 4,5 x 0,5 cm, basal verjüngt, elastisch, beige, weißlich überfasert;
Lamellen: gerade angewachsen bis schwach herablaufend, sehr gedrängt, bei jungen Fk deutlich konkav, graubeige; Schneiden weißlich;
Fleisch: siehe Schnittbild;
Geruch: schwach aromatisch-pilzig, kein Mehl;
Geschmack: mild;
Sporenpulver: weißlich (Abwurf schwach);
Mikromerkmale vom Exsikkat:
HDS: Cutis, Zellen glatt, schmal, ca. 2,5-5, mit Schnallen; Pigment sehr blass, nicht inkrustierend;
Basidien: 4-sporig, ca. 19-26 lang, mit Schnallen;
Lamellenschneide: fertil, ohne Zystiden;
Sporen: subzylindrisch, oft mit subapikulärer Depression und basal verschmälert, bisw. etwas irregulär, selten schlank tropfenförmig, teils kongophil, im Abwurf in Kongo verklebend und großteils kollabiert, inamyloid; Maße: 7,4 x 3,4 (6,4-8,2 x 3,2-3,8), Q=2,20 (1,94-2,41), 20 Sp. gemessen;
|
Nr. 5: Clitocybe cf. lohjaënsis Harmaja
Zur Bestimmung: Mit FN und Gröger geschlüsselt. Trotz des fehlenden Mehlgeruchs und den etwas gedrungeneren Sporen könnte ich mir vorstellen, dass es dieselbe Art ist wie die bislang als C. cf. lohjaensis bestimmten Kollektionen - siehe Kollektion
Nr. 5/2012 und
Nr. 19/2011. Abweichend sind wie immer die cremeweißen Lamellen, die bei Gröger und in FN als blass braun beschrieben sind.
|
Funddaten: 23.09.2013; Fundort: MTB 8236-4-3-4, 940 m; D-By-Tegernsee, Riedersteinholz, Bergmischwald (Buche, Fichte, Tanne, Bergahorn) in der Flyschzone, evtl. auf quartärem Schutt, an einem sehr feuchten Hang in der Nadelstreu bei Fichten und Tannen; gesellig (>10 Fk); verges. mit H. capreolarius und Cortinarius cf. malachius;;
Hut: bis 2,3 cm breit flach gewölbt, in der Mitte schwach vertieft, nie trichterig, trocken, matt, glatt, frisch im äußeren Drittel durchscheinend gestreift, olivbraun, hygrophan, cremegrau ausblassend;
Stiel: kurzstieliger Pilz, Stiel in der Regel kürzer als der Hutdurchmesser, bis 1,8 x 0,4 cm, basal gleichdick und oft weißstriegelig, glatt, höchstens minimal weiß überfasert, beige bis grau, mit schwachen Olivton;
Lamellen: leicht herablaufend, gedrängt, cremeweiß;
Fleisch: siehe Schnittbild;
Geruch: schwach aromatisch;
Sporenpulver: weiß;
Mikromerkmale vom Exsikkat:
HDS: Cutis, Zellen glatt, ca. 2,5-6 breit, nicht gelifiziert; mit Schnallen; Pigment intrazellulär, körnig bis vakuolär, aber nur recht sporadisch, insgesamt blass;
Basidien: 4-sporig; mit Schnallen;
Lamellenschneide: fertil;
Sporen: ellipsoid, am Apex meist etwas schmäler als an der Basis, mit großem, dickem Apikulus, nicht klumpend, nicht kongophil, Maße: 4,5 x 2,9 (4,1-4,8 x 2,6-3,1), Q=1,53 (1,35-1,70), 20 Sp. gemessen;
|
Nr. 6: Musumecia vermicularis E. Musumeci
Zur Bestimmung: Vgl.FND 67-69 S. 133ff. Dank an Peter Specht für die Bestimmung!
|
Funddaten: 10.10.2013; Fundort: MTB 7446-4-1-2, 350 m; D - By - Passau, Neuburger Wald, südlich Parkplatz Staustufe Ingling, Mischwald (Buche, Eiche, Tanne, Fichte), teils auf Gneis teils auf quartären Terassenschottern; an feuchter Böschung bei Buche, terrestrisch, gesellig (5 Fk);
Hut: bis 2,3 cm breit, genabelt bis trichterig vertieft, trocken, ungestreift, feinsamtig, grau bis graubeige gezont, nicht hygrophan (oder sehr schwach);
Stiel: bis 3 x 0,5 cm, basal schwach keulig erweitert, cremeweiß, kahl;
Lamellen: herablaufend, gedrängt, creme bis cremebeige;
Fleisch: im Hut wässrig grau, im Stiel cremefarben;
Geruch: unauffällig;
Sporenpulver: kein Abwurf;-(
Mikromerkmale vom Exsikkat:
HDS: Cutis, Zellen glatt, um 5 µm breit, mit Schnallen; Pigment fein quergestreift blassbraun inkrustierend und zusätzlich intrazellulär blassbraun (einzelne Flecken, Vakuolen);
Lamellenschneide: fertil, ohne Zystiden;
Basidien: 4-sporig, ziemlich lang und mit langen Sterigmen, ca. 30-43 x 6-7, mit Schnallen;
Sporen: regulär ellipsoid, hyalin, inamyloid, Maße: 7,6 x 4,1 (7,1-8,9 x 3,8-4,4), Q=1,84 (1,59-2,12), 20 Sp. gemessen;
|
Nr. 7: Pseudoclitocybe expallens (Pers.: Fr.) Moser
Zur Bestimmung: Mit Gröger und FN bestimmt. Ökologie und gedrungene, kurze Sporen sprechen klar für P. expallens. P. obbata ist wohl strittig und bei Gröger mit erheblich größeren Sporen angegeben (8,5-11).
|
Funddaten: 24.10.2013; Fundort: MTB 7735-4-3-2, 490 m; Fröttmaniger Heide Südost (Schotterheide, Magerwiese, von Schafen beweidet), in der Wiese; gesellig (2 Fk);
Hut: 4 cm breit, stark trichterig mit herab- und nach innen gebogenem Rand, glatt, matt, trocken, schokoladenbraun; stark hygrophan, beige ausblassend (vom Zentrum her);
Stiel: 4,4 x 1 cm, breitgedrückt und mit Längsfurche, hell graubraun, in der unteren Hälfte runzelig und weiß bereift bis befilzt, knorpelig;
Lamellen: deutlich herablaufend, mäßig gedrängt, dünn, hell graubraun wie der Stiel, Schneiden gleichfarbig und glatt;
Fleisch: siehe Schnittbild, dünn, aber kompakt, im Stiel etwas knorpelig;
Geruch: geruchlos;
Mikromerkmale vom Exsikkat:
LS: fertil, ohne Zystiden;
Basidien: 4-sporig, z.B. 45x10, ohne Schnallen;
Sporen: glatt, breit ellipsoid bis subglobos, hyalin, amyloid, Maße: 7,5 x 5,7 (6,8-8,7 x 5,3-6,1), Q=1,33 (1,19-1,47), 20 Sp. gemessen;
|
Nr. 8: Lyophyllum paelochroum Clemencon
Zur Bestimmung: Aufgrund der nicht gelatinisierten HDS fallen die Nachbararten wohl weg. Die Kollektion ist recht hell gefärbt, L. eustygium soll aber dunkelgraue Lamellen und eine gelatinöse Huthaut aufweisen. L. caerulescens ist wohl kaum sicher abgrenzbar, wird aber im FN-Schlüssel aufgrund des verjüngten Stiels abgetrennt, es existiert aber wohl nur die Abbildung bei Bresadola.
|
Funddaten: 14.09.2013; Fundort: MTB 7934-4-2-4, 600 m; D-By-Baierbrunn-Buchenhain, Forstenrieder Park, bodensaure Fichtenmischwälder und Sukzessionswälder (Fichte, Buche, Eiche, Birke, Hainbuche, Weide) auf hochwürmeiszeitlichen Schottern (kalkhaltig); an der Eichenreihe am Ludwigsgeräumt, unter großer Eiche (2 Fk);
Hut: 4-4,8 cm breit, flach gewölbt, kaum gebuckelt, Oberfläche trocken, glatt, hellelfenbein (RAL), bisw. auch etwas dunkler braunbeige;
Stiel: bis 4 x 1,2 cm, oben am dicksten, basal verjüngt bis fast wurzelnd, schmutzig creme;
Lamellen: ausgebuchtet und breit angewachsen, gedrängt, untermischt, cremebeige, bei Verletzung zuerst blass blaugrau verfärbend, dann schwärzend;
Fleisch: weiß, im Schnitt vor allem im Stiel bald grauend bis schwärzend;
Geruch: intensiv mehlig;
Mikromerkmale vom Exsikkat:
HDS: Cutis, Zellen glatt, nicht gelatinisiert, mit Schnallen, mit zahlreichen meist keuligen, aber auch etas irregulären, verzweigen oder aufgetriebenen Endzellen, Pigment unauffällig, blass, nicht inkrustierend;
Cheilozystiden: verstreut, eher irregulär, zylindrisch, auch knorrig, lageniform, keine sterile Schicht bildend;
Basidien: 4-sporig, mit Schnallen, ca. 33-39 x 9-10;
Sporen: subglobos, glatt, 7,0 x 5,9 (6,4-8,1 x 5,6-6,3), Q=1,19;
|
Nr. 9: Melanoleuca friesii (Bres.) Bon
Zur Bestimmung: Mit FN und GpBW geschlüsselt. Sicher M. polioleuca sehr nahestehend, aber nach FN vor allem durch die eingeschnürten Zystiden unterschieden.
|
Funddaten: 24.10.2013; Fundort: MTB 7735-4-3-2, 490 m; Fröttmaniger Heide Südost (Schotterheide, Magerwiese, von Schafen beweidet), bei Kiefer in der moosigen Wiese; gesellig (2 Fk);
Hut: 3-4 cm breit, konvex mit kleinem, flachem Buckel, Oberfläche schwach klebrig und glänzend, glatt, graubraun bis olivbraun;
Stiel: bis 7 x 0,5 cm, blasal gleichdick, an der Spitze graubraun und weißlich beschürfelt, zur Basis hin immer dunkler graubraun, weißlich überfasert;
Lamellen: ausgebuchtet und bisw. mit Zahn angewachsen, gedrängt, weiß; Schneiden gleichfarbig und glatt;
Fleisch: im Hut schmutzig creme, im Stiel hellbraun, zur Basis hin immer dunkler bis fast schwarz;
Geruch: schwach pilzig;
Mikromerkmale vom Exsikkat:
Pleurozystiden: fehlend, oder nur ganz dicht an der Schneide vorhanden;
Cheilozystiden: verstreut an der Schneide, lageniform, oberhalb des Bauchs meist eingeschnürt und dann meist mit spitz zulaufendem Apex, Apex bisw. mit Kristallschopf besetzt (löst sich wohl auf in KOH), ca. 52-61 x 10-12;
Basidien: 4-sporig, ohne Schnallen, ca. 35-36 x 8-9;
Sporen: ellipsoid, im Umriss schwach rau, amyloid, in Melzer mit kräftigem warzigem Ornament, das auch deutlich übersteht, und mit kleinem Plagefleck ohne Ornament; Maße: 7,4 x 4,8 (6,6-8,3 x 4,5-5,1), Q=1,56 (1,44-1,74), 20 Sp. gemessen;
|
Nr. 10: Mycena floridula (Fr.) Quél. s. Kühner
Zur Bestimmung: Mit Gröger und Robich bestimmt. Die Abgrenzung zu M. acicula und leptophylla ist einfach und klar. Trennmerkmale zu M. adonis sind makroskopisch die doch recht blassen, ins Gelbliche spielenden Hutfarben sowie mikroskopisch die blasigen HDS-Auswüchse und vor allem die schmalen Sporen von 4-sporigen Basidien.
|
Funddaten: 14.09.2013; Fundort: MTB 7934-4-2-2, 600 m; D-By-Baierbrunn-Buchenhain, Forstenrieder Park, bodensaure Fichtenmischwälder und Sukzessionswälder (Fichte, Buche, Eiche, Birke, Hainbuche, Weide) auf hochwürmeiszeitlichen Schottern (kalkhaltig); am Rand des Sukzessionswalds, am bemoosten Stammgrund einer lebenden Salweide; gesellig (2 Fk);
Hut: 9-13 mm breit, kegelig, mit hyalinem, spitzem Papillchen, glatt, bis zum Scheitel durchscheinend gestreift, jung lachsorange (RAL), bei älteren Fk blasser safrangelb (RAL) mit leichtem Orangeton (nicht so aprikosenfarben wie M. leptophylla), zum Rand hin fast cremerosa ausgeblasst;
Stiel: ca. 5 cm lang und 1,5 mm dick, glasig hyalin, kahl, glatt, etwas steif und elastisch;
Lamellen: aufsteigend und unterschiedlich breit angewachsen, bisw. mit Zahn kurz herablaufend, mäßig gedrängt (l=3-7), ca. 20 erreichen den Stiel, cremefarben, in Hutnähe schwach hutfarben durchgefärbt; Schneiden gleichfarbig und glatt;
Fleisch: im Hutkern weiß, sonst im Hut blass orange;
Geruch: unauffällig;
Exsikkat: komplett orangegelb (auch der Stiel).
Mikromerkmale vom Exsikkat:
HDS: Cutis, Zellen in der obersten Lage ca. 2-3 µm breit, mit teils fingerigen, teils knubbelig-blasigen, aber nicht fein-koralloiden Auswüchsen; mit Schnallen;
Stielhyphen: glatt;
Lamellentrama: indextrinoid;
Pleuro- und Cheilozystiden: lageniform mit meist sitz zulaufendem, langem Apex, ca. 35-40 x 11-12;
Basidien: 4sporig, mit Schnallen;
Sporen: regulär ellipsoid bis subzylindrisch, mit großem Apikulus, hyalin, inamyloid, Maße: 6,6 x 3,8 (5,9-7,4 x 3,5-4,1), Q=1,73;
|
Nr. 11: Mycena stipata Maas Geest. & Schwöbel
Zur Bestimmung: Mit Gröger geschlüsselt und bei Robich und im Kompendium verglichen. Recht großsporige Kollektion.
|
Funddaten: 09.10.2013; Fundort: MTB 7447-1-1-2, 360 m; D - By - Passau, Donauleite östlich der Kernmühle; Mischwald (Buche, Eiche, Tanne, Hainbuche, Kiefer, Linde, eingestreute Fichtenparzellen, auf saurem Boden); in einem Graben auf morschem Strunk (nicht mehr identifizierbar, ob Laub- oder Nadelholz); büschelig in mehreren Büscheln;
Hut: bis 1,8 cm breit und gut 1 cm hoch, glockig, glatt, trocken, bis zum Scheitel gestreift, dunkelbraun, schwach hygrophan, scheckig verblassend;
Stiel: bis 5,3 x 0,3 cm, basal verjüngt und stark büschelig verwachsen, starr, graubraun, kahl;
Lamellen: ausgebuchtet und mit Zahn angewachsen, mäßig gedrängt, grau bis graubraun, ziemlich dunkel, mit weißen Schneiden,
Fleisch: cremeweiß, im Stiel grau;
Geruch: intensiv nach Chlor (Schwimmbad);
Mikromerkmale vom Exsikkat:
HDS: Lockere, schwach gelifizierte Cutis, einzelne Zellen deutlich gelifiziert, Zellen locker gelagert (Abstand größer als Zellbreite), ca. 2-6 breit in der obersten Lage, nur sporadisch mit igeligen Auswüchsen, überwiegend glatt;
Stielhyphen: Zellen der Rinde mit zahlreichen fingerigen, bisw. auch schwach verzweigten Auswüchsen, an der Spitze ohne auffallende Kaulozystiden;
Lamellentrama: dextrinoid;
Cheilozystiden: keulig, irregulär zylindrisch, utriform, apikal meist mit verquollene, oft verzweigten Auswüchsen, ca. 44-50 x 12-19; Pleurozystiden fehlend;
Basidien: 4-sporig, mit Schnallen; z. B. 28x8;
Sporen: subzylindrisch, seltener schmal ellipsoid, hyalin, amyloid, Maße: 10,9 x 5,8 (9,3-12,4 x 5,2-6,7), Q=1,88 (1,54-2,05), 20 Sp. gemessen;
|
Nr. 12: Mycena metata (Fr.) P. Kumm.
Zur Bestimmung: Im Gröger-Schlüssel stolpert man hier über M. mirata, die aber doch erheblich kleiner ist (nach Aronsen bis 7 mm!). M. filopes sollte etwas kürzer Cheilos haben, die Unterscheidung ist aber subtil und nicht unumstritten in der Literatur.
|
Funddaten: 26.10.2013; Fundort: MTB 7934-2-3-4, 600 m; D-By-München, Forstenrieder Park, Eichelgarten; Sukzessionswald nördlich des Eichelgartens, auf hochwürmeiszeitlichen Schottern (kalkhaltig); auf Fichtenast; gesellig bis büschelig;
Hut: bis 1,8 cm breit, kegelig, meist mit vorgezogenem Buckel, glatt, teils fein mehlig bereift, frisch bis zum Scheitel durchscheinend gestreift, Streifung später vergehend, graubraun, zum Rand hin immer heller;
Stiel: bis 4,2 x 0,15, nicht wurzelnd, basal gleichdick, steif, glasig-glatt, apikal cremeweiß, nach unten zu immer dunkler, bis mittelgrau, basal weißstriegelig und über der Basis bisw. mehlig bereift;
Lamellen: aufsteigend und schmal angewachsen, mäßig gedrängt bis entfernt (ca. 15-16 erreichen den Stiel), am Grund und auch an den Flächen quer- bzw. vertikal aderig, cremeweiß bis cremegrau oder cremebeige; Schneiden gleichfarbig und +/- glatt;
Fleisch: sehr dünn, geruchlos (minimal süßlich?);
Mikromerkmale vom Exsikkat:
HDS: Cutis, Zellen soweit im Präparat differenziert ca. 4-5 breit, aber sicher auch in der obersten Lage teils erheblich breiter (sieht man an der fast flächigen Auswüchsen), stark igelig bis koralloid verzweigt, Auswüchse filigran;
Kaulozystiden: sporadisch vorhanden und deutlich differenziert bis fehlend (2 Proben);
Cheilozystiden: keulig bis blasig, bisw. gestielt, meist bis zur Mitte oder etwas darüber mit kurzen, igeligen, regulären Auswüchsen, ca. 24-45 x 10-23 (regelmäßig über 30 lang);
Basidien: 2-sporig, mit Schnallen;
Sporen: schlank ellipsoid, hyalin, Maße: 9,5 x 5,2 (8,4-10,9 x 4,5-5,9), Q=1,83 (1,61-2,29);
|
Nr. 13: Tricholoma sejunctum (Sowerby: Fr.) Quél.
Zur Bestimmung: Durch die klare Ökologie, die lebhaften Farben und die eingewachsen faserige Huthaut makroskopisch klar. Da spare ich mir mal die Mikroskopie.
|
Funddaten: 27.09.2013; Fundort: MTB 7935-1-3-4, ca. 550 m; D - By - Grünwald , Kalkbuchenwald nördlich der Grünwalder Brücke; bei großen Buchen am und neben dem Pfad (Wiederfund vom 19.09.2006);
Hut: bis 6,5 cm breit; Geruch: stark mehlig; im Übrigen siehe Fotos;
|
Nr. 14: Tricholoma cf. inocybeoides A. Pearson
Zur Bestimmung: Mit FNE4 bestimmt. Aufgrund der konischen Hüte und der länglichen Sporen ist T. scalpturatum auszuschließen. Das schwach ausgeprägte Velum spricht für T. inocybeoides und gegen T. argyraceum. T. inocybeoides soll allerdings bevorzugt bei Birke und Pappel wachsen.
|
Funddaten: 27.09.2013; Fundort: MTB 7935-1-3-4, ca. 550 m; D - By - Grünwald , Kalkbuchenwald nördlich der Grünwalder Brücke; bei großen Buchen; gesellig (>10 Fk);;
Hut: bis 2,8 cm breit, Hutrand jung gebörtelt, aber ohne auffälliges Velum; Geruch stark mehlig; Fleisch weiß;
Mikromerkmale vom Exsikkat:
Basidien: 4-sporig, ohne Schnallen;
Sporen: schlank ellipsoid, hyalin, Maße: 5,4 x 3,2 (4,9-5,9 x 2,7-3,7), Q=1,68 (1,55-1,78[2,04]), 20 Sp. gemessen;
|
Nr. 15: Tricholoma squarrulosum Bres.
Zur Bestimmung: Nach FNE4 sollte das aufgrund des wollig-filzigen Hutrands T. squarrulosum sein. Die beiden letzten Fotos zeigen eine separate Kollektion, die drei Tage später in einem ähnlichen Habitat aufgesammelt wurde und sehr intenvis pfeffrig roch.
|
Funddaten: 02.10.2013; Fundort: MTB 8135-4-3-1, 710 m; D - By -Sachsenkamm, Kirchsee Nord, Mischwald (Tanne, Buche, Fichte) auf würmeiszeitlichen Moränen angrenzend an ein Hochmoor; bei Tanne, Fichte und Buche; verges. mit T. saponaceum und Ramaria flava var. flava;
Hut: 3,5-6,5 cm breit, flach ausgebreitet, schwach gebuckelt, trocken, matt, auf cremegrauem bis grauem Grund dicht mit schwarzbraunen Schuppen besetzt; Hutrand zumindest jung stark wollig-filzig;
Stiel: bis 6 x 1,5 cm, basal schwach keulig bis schwach spindelig-keulig, auf schmutzig-weißem Grund dicht mit schwarzbraunen Schüppchen besetzt, nicht verfärbend; Basalmyzel weiß;
Lamellen: mit Burggraben angewachsen, gedrängt, grauweiß (RAL: papyrusweiß); Schneiden +/- glatt, stellenweise schwarzbraun punktiert oder gestrichelt;
Fleisch: schmutzig weiß; im Schnitt nicht verfärbend;
Geruch: höchstens schwach pfeffrig, im Schnitt und bei Verletzung sofort intensiv nach Mehl umschlagend;
Geschmack: mild;
Mikromerkmale vom Exsikkat:
Basidien: 4-sporig, ohne Schnallen;
Sporen: ellipsoid, hyalin, Maße: 6,6 x 4,7 (6,0-7,3 x 4,1-5,2), Q=1,42 (1,27-1,59), 20 Sp. gemessen;
|
Nr. 16: Tricholoma orirubens Quél.
Zur Bestimmung: Nach FNE4 sollte das aufgrund des weißen Myzels und der Ökologie (Nadelwald) T. atrosquamosum sein; das Schlüsselmerkmal mit dem schwefelgelben Basalmyzel überzeugt mich nicht so ganz, weil auf den Fotos in der Monografie auch Fk von orirubens abgebildet sind, auf denen kein gelbes, sondern weißes Basalmyzel zu sehen ist; bei dieser Kollektion ist das Basalmyzel überwiegend weiß, bei einem Fk sind die Stränge gelblichgrün verfärbt, was ich aber auf die generelle Grünverfärbung an der Stielbasis zurückführen würde. Aufgrund der subglobosen Sporen und der Schnallenbildung an den Basidienbasen bestimme ich trotz des überwiegende weißen Basalmyzels als T. orirubens.
|
Funddaten: 05.10.2013; Fundort: MTB 8235-4-2-2, 830 m; D - By - Marienstein, Bergmischwald (Tanne, Buche, Fichte) im Übergangsbereich von quartärem Schutt, Helvetikum (Bacheralm) und Flyschzone; bei großen Tannen und Fichten; gesellig, reihig bis büschelig (>15 Fk); verges. mit T. sulphureum und H. laterinum;
Hut: 4,5-8 cm (wohl noch größter, hab ich nicht mitgenommen), dicht schwarzbraun schuppig, Hutrand jung wollig filzig;
Stiel: bis 6 x 1,4 cm, stämmig, hart, basas verjüngt, schmutzig weiß, teils fast glatt, teils zumindest in der oberen Hälfte schwarzbraun schuppig oder befasert; Stielbasis blaugrün verfärbend; Basalmyzel weiß (nur dickere Stränge bisw. gelblich verfärbt, Myzelfilz weiß);
Lamellen: mit Burggraben angewachsen, gedrängt, hellgrau (RAL: kieselgrau bis steingrau), Schneiden oft schwarz gepunktet oder gestrichelt;
Fleisch: schmutzig weiß bis grauweiß, nicht verfärbend, in der Stielbasis bisw. blaugrün fleckend;
Geruch: schwach süßlich, im Schnitt deutlich mehlig;
Geschmack: mild;
Mikromerkmale vom Exsikkat:
Basidien: 4-sporig, mit Schnallen (!), Schnallen an praktisch allen Basidien vorhanden;
Sporen: hyalin, Maße: 5,1 x 4,2 (4,7-5,6 x 3,9-4,7), Q=1,21 (1,11-1,33), 20 Sp. gemessen;
|
Nr. 17: Tricholoma cf. scalpturatum (Fr.) Quél.
Zur Bestimmung: Der Sporenquotient lässt eine sichere Einordnung gemäß FNE4 nicht zu, auch die Hutform ist eher halbscharig als deutlich kegelig oder spitz gebuckelt, die jung stark ausgeprägte Cortina spricht wohl eher für T. argyraceum. Aufgrund des Sporen-Q-Wertes unter 1,6 bestimme ich trotzdem als T. scalpturatum.
|
Funddaten: 19.10.2013; Fundort: MTB 8133-2-4-2, 600 m; D - By - Bernried, Bernrieder Park; buchendominierter Laubmischwald (Buche, Eiche, Esche, Ahorn, Linde, Hainbuche, Haselnuss) auf Würmmoräne; unter großer Buche und (weiter entfernt) Eiche, am sonnigen Waldrand teils im Gras, gesellig bis büschelig (>15 Fk);
Hut: 4-5,5 cm breit, jung halbkugelig oder konisch, später gewölbt mit vorgezogenem, abgerundetem Buckel, jung filzig, später mit angedrückten bis leicht abstehenden Faserschüppchen, Grundfarbe cremegrau, Faserschüppchen gleichfarbig oder dunkler braun (variabel); Hutrand jung eingebogen und durch weißliche Cortina mit dem Stiel verbunden;
Stiel: bis 11 x 1,3 cm, basal gleichdick, oft verbogen, weiß, ziemlich glatt;
Lamellen: mit Burggraben angewachsen, gedrängt, cremeweiß bis grauweiß, alt und spätestens beim Vergehen stark gilbend; Schneiden glatt bis wellig oder gekerbt, gleichfarbig;
Fleisch: weiß;
Geruch: intakt schwach mehlig, im Schnitt deutlich mehlig;
Geschmack: mild, mehlig;
Sporen: sehr variabel geformt, überwiegend ellipsoid, längliche oder gar subzylindrische Sporen sind eher die Ausnahme, 5,3 x 3,4 (4,5-6,8 x 2,8-3,5), Q=1,59 (1,29-1,79), 20 Sporen gemessen;
|
Nr. 18: Hemimycena gracilis (Quél.) Singer
Zur Bestimmung: Mit Gröger geschlüsselt und in der Monografie (Antonin/Noordeloos) und im Kompendium verglichen.
|
Funddaten: 13.07.2013; Fundort: MTB 8338-1-3-4, ca. 1100 m; Bayrischzell, Wanderweg von der Stocker-Diensthütte zur Fellalm beim Traithen; Bergmischwald (vorwiegend Fichte, eingestreut Ahorn, Lärche, Buche, Tanne); an feuchter, krautig-grasig-moosiger Böschung, terrestrisch (striegelig z.T. alten Moostrieben ansitzend, sicher auch an Nadeln und anderer Debris), gesellig (>10 Fk);
Hut: bis 4 mm breit, glockig, glatt, bis zum glasigen Scheitel durchscheinend gestreift, weiß;
Stiel: bis 25 x 0,5 mm, apikal weiß bepudert, sonst glatt und glasig weiß
Lamellen: deutlich herablaufend, entfernt (ca. 10 erreichen den Stiel); weiß;
Fleisch: unbedeutend; Geruch: nicht festgestellt;
Mikromerkmale vom Frischpilz:
HDS: Zellen schmal (1-2 µm), stark igelig verzweigt, Auswüchse fingerig, nicht koralloid, ca. 1-3 µm lang; Septen schlecht zu sehen, wohl mit Schnallen; keine Pileozystiden beobachtet;
Kaulozystiden: apikal vorhanden, ähnlich wie die Cheilos;
Cheilozystiden: dicht stehend (Schneide steril), zylindrisch-wellig, bisw. knorrig und mit Auswüchsen, oft schwach dickwandig, bisw. mit Schleimauflagerungen, ca. 25 x 4,5;
Basidien: 4-sporig, mit Schnallen, z.B. 22x4,5;
Sporen: zylindrisch, sehr schlank, nicht amyloid, 9,8 x 2,0 (8,5-11 x 1,8-2,2), Q=5,00;
|
Nr. 19: Roridomyces rorida (Scop.: Fr.) Rexer
Zur Bestimmung: Wohl unkritisch.
|
Funddaten: 03.09.2013; Fundort: MTB 8139-2-2-3, 580 m; Bad Endorf, Antwort, Antworter Berg, würmeiszeitlicher Moränenhügel, Mischwald (Fichte, Tanne, Buche), an der Wegböschung im Brombeergestrüpp, auf abgestorbenen Ästen von Rubus; gesellig;
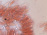
Hut: bis ca. 8 mm, mit feinsamtiger Struktur (zellige HDS!), Hutrand gezähnelt;
Stiel: mindestens basal meist mit dicker hyaliner Schleimschicht überzogen; Lamellen: breit angewachsen bis bogig herablaufend;im Übrigen siehe Fotos;
Mikromerkmale vom Frischpilz:
HDS: aus birnenförmigen Zellen, mit deutlich zelliger Struktur; Cheilozystiden: zylindrisch-spindelig; Basidien: 2-sporig (schlecht zu sehen); Sporen: subzylindrisch, schlank, ca. 9-13 x 4-5,5;
|