Lactarius illyricus Piltaver
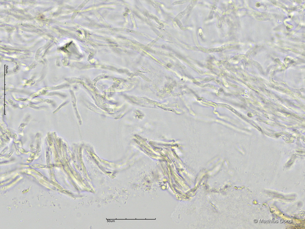
HDS

Foto