Mycena laevigata (Lasch) Gillet
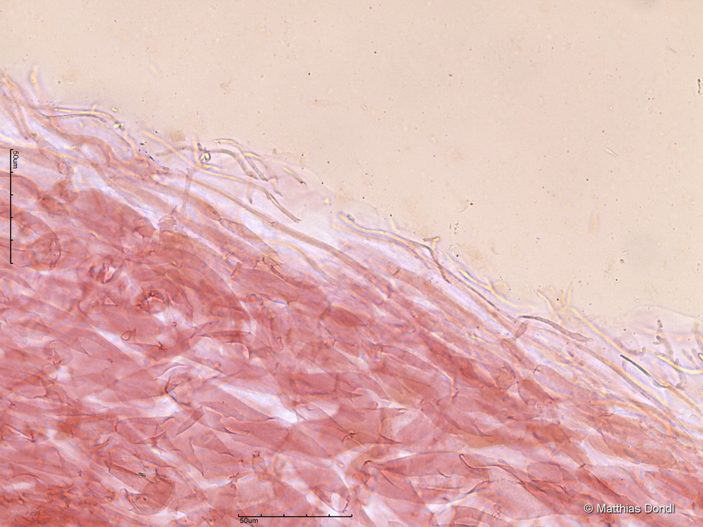
HDS

Foto