Russula pumila Rouzeau & F. Massart
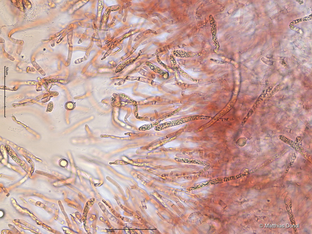
HDS in Kongo

Foto