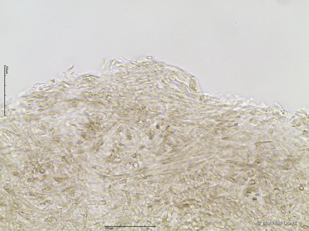
Lyophyllum transforme (Britzelm.) Singer
HDS

Foto