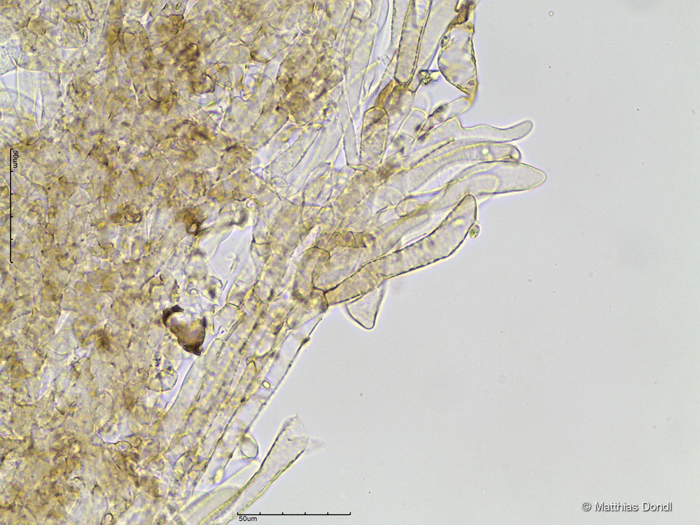
Dennisiomyces lanzonii Robich cf.
HDS

Foto