Delicatula integrella (Pers.: Fr.) Pat.
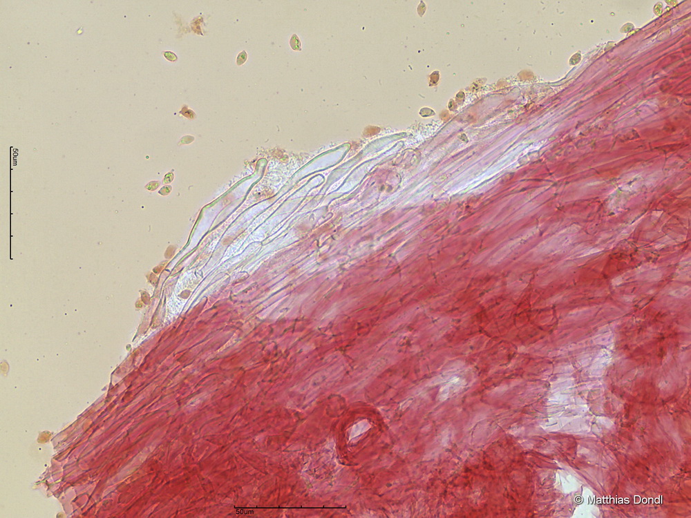
HDS in Kongo

Foto