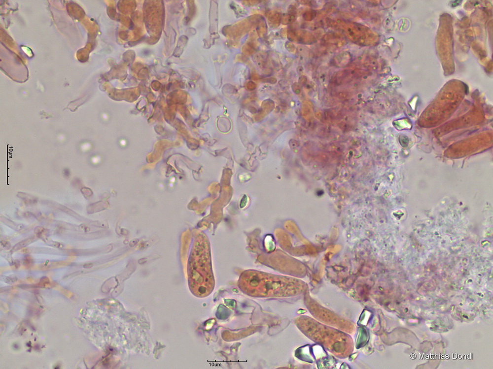
Resupinatus trichotis (Pers.) Singer
Cheilozystiden

Foto