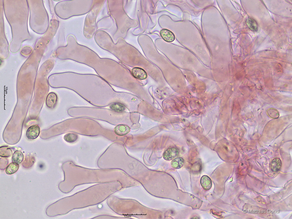
Crepidotus caspari Velen.
Cheilozystiden

Foto