Übrige Gattungen 2018

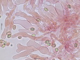
Nr. 1: Cantharellopsis prescotii (Weinm.) Readhead

Zur Bestimmung: Mit Gröger geschlüsselt. Taxonomie ist verworren. Wahrscheinlich synonym zu Arrhenia polycephala. In der Kollektion hatte nur einer von ca. 20 Fk einen gegabelten Stiel mit zwei Hüten.

Foto Foto Foto Foto Foto Foto

Funddaten: 26.08.2018; MTB 8531-4-1-3, 1136 m NN; Koordinaten: 10,929071436040637 E; 47,42480387999222 N; Österreich, Tirol, Ehrwald, Waldgebiete nördlich des Hotels Thörle; Fichtenmischwald (Fichte, Lärche) über Plattenkalk (Blockschutt); bei Fichte, zwischen Moosen in der Nadelstreu; gesellig (>20 Fk);
Hut: bis 2 cm breit, anfangs genabelt mit herabgebogenen Rand, dann ausgeprägt trichterförmig mit geradem, oft auch etwas flatterigem Rand, trocken, matt, in der Kollektion ausgeprägt zweifarbig, manche Fk rein cremeweiß, andere rein ockergelb, die meisten aber gelb-weiß gemischt mit gelbem Rand und cremeweißem Zentrum; Stiel: bis 6,5 x 0,15 cm, zylindrisch, basal gleichdick und abgestorbenen Moostrieben, aber auch Nadeln ansitzend, auffallend elastisch und zähl, cremeweiß, glatt; Lamellen: deutlich herablaufend, gedrängt, zum Rand hin untermischt und oft gegabelt, cremeweiß; Fleisch: cremegrau; im Stielkern voll und weiß; Geruch: schwach aromatisch; Mikromerkmale vom Exsikkat: Lamellenschneide: heterogen, mit zahlreichen sterilen zylindrisch-welligen Zellen, die aus dem Hymenium ragen und als Zystiden interpretiert werden könnten, diese ca. 1,5-4 µm breit, z.B. 22x3,7; ohne Schnallen; Basidien: überwiegend 4-sporig, ohne Schnallen; Sporen: ellipsoid, apikal meist etwas breiter als basal (gelegentlich aber auch umgekehrt), oft mit suprahilarer Depression oder auf der ganzen Bauchseite konkav gekrümmt, mit großem Apikulus, sehr schwach kongophil (Wände sehr gut sichtbar); Maße: 5,4 x 3,4 (4,8-6,3 x 3,1-3,7), Q=1,60 (1,41-1,74), 20 Sp. gemessen (Abwurf);

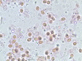
Nr. 2: Crepidotus cesatii (Rabenh.) Sacc.

Zur Bestimmung: Mit FN und Monografie Consiglio/Setti (2008) geschlüsselt. Unkritisch.

Foto Foto Foto Foto Foto

Funddaten: 03.06.2018; MTB 7833-1-3-4, 545 m, Koordinaten: 11,199073 E, 48,160344 N; D – By – Landkreis und Gemeinde Fürstenfeldbruck, Schöngeising Rothschwaid, renaturierte Kiesgrube mit umgebenden Magerwiesen; unter solitärer Eiche auf Laubholzästchen; gesellig (3 Fk);
Hut bis 7 mm breit, im Übrigen siehe Fotos; Mikromerkmale vom Exsikkat: Cheilozystiden: dicht gedrängt (Schneide steril), sehr variabel geformt und stark divertikuliert, nur einzelne glatt, ca. 28-42 x 5-11; Sporen: breit ellipsoid, fein stachelig, Stacheln ca. 0,2 µm überstehend; Maße: 6,4 x 5,3 (5,7-7,1 x 4,5-6,2), Q=1,21 (1,10-1,36), 20 Sp. gemessen (am Lamellenpräparat);

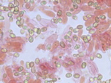
Nr. 3: Crepidotus caspari Velen.

Zur Bestimmung: Mit FN und Consiglio & Setti (2008) geschlüsselt. C. subverrucisporus ist kleiner und hat deutlicher warzige, kräftiger gefärbte Sporen sowie apikal schlankere Cheilozystiden.

Foto Foto Foto Foto Foto Foto Foto

Funddaten: 02.09.2018; MTB 8034-4-3-2, 660 m; Koordinaten: 11,414920071476512 E; 47,91464158508721 N; D-By-Landkreis Bad-Tölz/Wolfratshausen, Gemeinde Wolfratshausen, Bergwald an der westlichen Loisachleite; Weidengebüsch über Würmmoräne; auf liegenden Laubholzästen; gesellig (>20 Fk);
Fk muschelförmig, bis 3 cm breit, Hutoberfläche filzig, weiß, an der Anwachsstelle striegelig behaart; im Übrigen siehe Fotos; Mikromerkmale vom Exsikkat: Cheilozystiden: dicht gepackt (Schneide steril), polymorph, subzylindrisch, apikal teils keulig erweitert, teils verjüngt und oft mit zwei oder drei abgerundeten geweihartigen Auswüchsen; Maße: 28-52 x 7-13; Basidien: 4-sporig, mit Schnallen; Sporen: ellipsoid bis subamygdaloid, im Umriss glatt oder minimal rau, feinst warzig (punktiert bis marmoriert), fast hyalin in KOH, Maße: 7,2 x 4,8 (6,4-8,0 x 4,4-5,0), Q=1,50 (1,30-1,67), 20 Sp. (am Lamellenpräparat) gemessen;

Nr. 4: Hohenbuehelia tremula (Schaeff.: Fr.) Thorn & G.L. Barron

Zur Bestimmung: Taxonomie unklar. Als Nadelwaldkollektion eigentlich als H. tremula zu bestimmen, allerdings sind die Sporen kürzer und gedrungener als für diese Art in der Literatur (Gröger, FN) angegeben. Unterscheidet sich auch von der als H. tremula bestimmten italienischen Kollektion 2015-05 (Übrige Gattungen) durch kürzere Sporen und völlig andere HDS-Struktur (fehlende gelatinöse Schicht und aufgeblasene Zellen in der Subcutis). In Z. MYKOL 59(2) berichten Lohmeyer, Christan und Gruber (1993) von einem Fund auf Sägemehl, der ebenfalls keine gelatinöse Schicht in der HDS aufwies und beklagen in diesem Artikel ebenfalls den taxonomischen Wirrwarr in der Gruppe.

Foto Foto Foto Foto Foto Foto Foto Foto Foto Foto Foto Foto Foto Foto

Funddaten: 26.08.2018; MTB 8531-4-1-3, 1136 m NN; Koordinaten: 10,927032957188331 E; 47,42165352219046 N; Österreich, Tirol, Ehrwald, Waldgebiete nördlich des Hotels Thörle; Fichtenmischwald (Fichte, Lärche) über Plattenkalk (Blockschutt); auf moosigem Waldpfad, bei Fichte; gesellig bis kleinbüschelig (über 20 Fk);
Hut: bis 7 cm breit und bis 6 cm hoch, eigentlich fächerförmig, aber meist zu einem nach einer Seite offenen oder geschlitzten Trichter zusammengerollt, HDS glatt bis rau, schmierig bis schleimig und etwas klebrig, stark glänzend, ockerbraun; Stiel: bis 4 x 1,2 cm, meist kürzer als der Hut hoch, zur Basis hin schwach verjüngt, knorpelig, beige; Lamellen: weit am Stiel herablaufend, extrem gedrängt, sehr schmal, schartig, cremefarben, alt gilbend, Schneiden feinst flockig; Fleisch: cremefarben; Geruch: im Schnitt deutlich nach Mehl; Mikromerkmale vom Exsikkat: HDS: Cutis aus schmalen, nicht oder schwach gelifizierten Zellen, Zellen in der Subcutis viel breiter und oft auffallend ballonartig aufgeblasen; Metuloide vorhanden; keine gelatinöse Zwischenschicht vorhanden; Schnallen vorhanden; Pigment unauffällig, nicht inkrustierend; Metuloide: an der Lamellenfläche spindelig, apikal spitz zulaufend und mit körnigem Besatz, ca. 54-83 x 14-17, Wandstärke bis 6 µm; auch an der Schneide vorhanden; Cheilozystiden: sehr zahlreich, spindelig-bauchig, keulig oder lageniform, meist mit 1-2 Auswüchsen, extrem variabel und irregulär geformt, oft mehrfach septiert, die Auswüchse meist eingeschnürt und nicht selten zu ganzen Kaskaden erweitert, ca. 20-52 x 5-14; Basidien: 4-sporig, mit Schnallen; Sporen: breit ellipsoid, nicht kongophil, hyalin, Maße: 7,1 x 5,2 (6,2-7,7 x 4,6-5,7), Q=1,38 (1,25-1,57), 20 Sp. gemessen;

Nr. 5: Laccaria longipes G. M. Mueller

Zur Bestimmung: Mit dem prov. Schlüssel von Bresinsky in MycBav12 (2011) so bestimmt. Mit Gröger wäre die Kollektion als L. tetraspora zu schlüsseln. Nach Bresinsky hat diese Art jedoch längere (>1,5) und breitere Sporenstacheln und wächst nicht im Sphagnum.

Foto Foto Foto Foto Foto Foto Foto

Funddaten: 20.10.2018; MTB 8134-3-2-3, 670 m; Koordinaten: 11° 22' 42,75'' E; 47° 50' 4,54'' N; D-By-Landkreis Bad-Tölz/Wolfratshausen, Gemeinde Eurasburg, Imbühl, Feuchtwiese südwestlich des Impbühl; ungedüngte Feuchtwiese über Würmmoräne oder Oberer Süßwassermolasse (Tertiär); in der Feuchtwiese, großteils im Sphagnum; gesellig (ca. 8 Fk);
Hut: bis 2,5 cm breit, gewölbt, meist genabelt, trocken, fein samtig-runzelig bis glatt, bis zum halben Radius durchscheinend gestreift, orangebraun; Stiel: bis 8 x 0,3 cm breit, basal gleichdick, braun, silbrig weiß bis goldgelb überfasert; Lamellen: ausgebuchtet bis breit angewachsen, entfernt, dick, bisw. gegabelt, fleischfarben, beigerot; Fleisch: siehe Schnittbild; Geruch: schwach aromatisch, nicht signifikant; Mikromerkmale vom Exsikkat: Basidien: 4-sporig, mit Schnalllen; Cheilozystiden: subzylindrisch, knorrig, bisw. apikal gegabelt, zahlreich zwischen den Basidien an der Schneide; Sporen: rund, spitzstachelig, Stacheln meist um 0,5 µm, maximal bis 1 µm überstehend, an der Basis um 0,5 µm breit; Maße: 8,2 x 7,7 (7,4-9,0 x 7,2-8,5), Q=1,06 (1,01-1,15), "Ausreißer" bis 9,7x9; 20 Sp. gemessen;

Nr. 6: Leccinum holopus (Rostk.) Watling

Zur Bestimmung: Mit Flora Agaricina Neerlandica 7 (2018) und Gröger geschlüsselt. Unkritisch.

Foto Foto Foto Foto Foto Foto Foto Foto

Funddaten: 08.09.2018; MTB 8134-3-4-3, 615 m; Koordinaten: 11,377300748936133 E; 47,799565251473574 N; D-By-Landkreis Weilheim-Schongau, Gemeinde Penzberg, Faistenberg, Kohlfilz; Moorwald mit Kiefer, Fichte und Birke; bei jungen Fichten und Birke zwischen Sphagnum und anderen Moosen, gesellig (4 Fk);
Hut: bis 4,5 cm breit, anfangs halbkugelig, dann mehr polsterförmig, schwach klebrig, jung weiß und recht unauffällig grünlichgrau gesprenkelt, nach 1 Nacht im Kühlschrank zart minttürkis und mit gelben Flecken, alt schmutzig olivgrau; Stiel: in Relation zum Hut extrem lang, bis 14 x 1,3 cm, basal schwach spindelig-keulig und dann verjüngt, jung hutfarben weiß und mit gleichfarbigen feinen Schüppchen gesprenkelt (fast eher bereift als beschuppt), alt etwas dunkler und mit braun verfärbten Schüppchen, an der Basis meist graugrün oder blass türkis verfärbt; Poren: rundlich bis hexagnoal, anfangs cremeweiß, alt schmutzig grau; Röhren: bis 1,2 cm lang, jung beige, alt schmutzig grau; Fleisch: siehe Schnittbild; im Schnitt nahe der Stielbasis stellenweise zart rosa verfärbend; Geruch: angenehm aromatisch-pilzig; Mikromerkmale vom Exsikkat: HDS: Trichoderm, Zellen oft lose (abgerissen), zylindrisch und meist langgestreckt, ca. 42-111 x 5-8, Zylindrozyten mit über 10 µm Breite fehlend, Endzellen apikal oft schwach verjüngt, ca. 56-111 x 6-8; Pigment intrazellulär braun (diffus), viele HDS-Zellen auch hyalin; Kaulozystiden (im oberen Stieldrittel): überwiegend flaschenförmig mit langem schmalem Hals, ca. 35-87 x 10-17; Sporen: boletoid mit suprahilarer Depression, 15,9 x 6,2 (14,9-17,2 x 5,8-6,4), Q=2,59 (2,35-2,87), 20 Sp. gemessen;

Nr. 7: Leccinum variicolor Watling

Zur Bestimmung: Durch die scheckigen Hüte auch makroskopisch klar. Mit FAN 7 (2018) geschlüsselt.

Foto Foto Foto Foto Foto Foto

Funddaten: 08.09.2018; MTB 8234-1-2-1, 615 m; Koordinaten: 11,375014165752706 E; 47,79646396541026 N; D-By-Landkreis Weilheim-Schongau, Gemeinde Penzberg, Faistenberg, im Waldstück westlich des Aschbergs; Fichtenwald auf anmoorigem Boden mit eingestreuten Birken; bei Birke und Fichte; gesellig (10 Fk);
Hut: bis 8 cm breit, schwach schmierig, anfangs ziemlich hell cremegrau und dunkelbraun gescheckt, alt vollständig dunkelbraun; Stiel: bis 16 cm lang und in der Mitte bis ca. 2,8 cm dick, auf weißem Grund dunkelgrau geschuppt, Basis blaugrün verfärbt; Poren: cremebeige, alt schmutziggrau; Röhren: anfangs cremebeige, alt graubraun, bis 1,3 cm lang; Fleisch: cremeweiß, nahe der Stielbasis türkisgrün, im Hut und später auch im Stiel zart rosa verfärbend; Geruch: angenehm pilzig; Mikromerkmale vom Exsikkat: HDS: Trichoderm (mit vielen losen Zellen), Zylindrozyten zahlreich, ca. 34-52 x 10-13; Pigment intrazellulär braun; Sporen: boletoid, 16,7 x 5,9 (15,5-17,8 x 5,7-6,3), Q=2,81, 10 Sp. gemessen;

Nr. 8: Limacella illinita (Fr.: Fr.) Murill

Zur Bestimmung: Unkritisch. Mit Gröger und FN geschlüsselt.

Foto Foto Foto Foto

Funddaten: 13.09.2018; MTB 8533-1-2-2, 960 m; Koordinaten: 11,238851825110507 E; 47,488878417977034 N; D-By-Landkreis Garmisch-Partenkirchen, Gemeinde Krün, Klais, Geißschädel; im Gras, zwischen Haselnuss und Fichte mitten in der Wiese; gesellig (3 Fk);
Hut: bis 4,5 cm breit, glatt, sehr schleimig, cremeweiß, am Scheitel beige, am Hutrand mit Resten des schleimigen Teilvelums; Stiel: bis 10 x 0,6 cm, basal gleichdick, auf ganzer Länge schleimig, ohne Ring; Lamellen: aufsteigend und frei, sehr gedrängt, weiß; Fleisch: dünn weiß; Geruch: mehlig, mit unangenehm süßlicher Komponente; Mikromerkmale vom Exsikkat: Sporen: breit ellipsoid, fein warzig, im Umriss nicht ganz glatt, nicht kongophil, Maße: 4,5 x 3,5 (4,1-4,7 x 3,2-3,7), Q=1,29 (1,21-1,36), 20 Sp. gemessen;

Nr. 9: Lycoperdon subumbrinum Jeppson & E. Larss.

Zur Bestimmung: Mit Jeppson 2018 (Puffballs of Northern and Central Europe) geschlüsselt. Nicht ganz sicher, da ich die in der Monografie aufgeführten Merkmalskategorien noch nicht genau einschätzen kann. Auch L. molle mit etwas stärker ornamentierten Sporen ist wohl ähnlich, sollte aber im Capillitium-Präparat viele intakte Reste abgebrochener Sterigmata aufweisen.

Foto Foto Foto Foto Foto Foto Foto

Funddaten: 06.10.2018; MTB 8032-2-1-3, 600 m, Koordinaten: 11° 5' 0,18'' E, 47° 58' 29,98'' N; D – By – Landkreis Landsberg am Lech, Gemeinde Dießen am Ammersee, Riederau, Bierdorf; Mischwald (Buche, Eiche, Fichte, Kiefer, Tanne, Birke, Schwarzerle) über Würmmoräne; auf Holzhaufen aus Reisig und Ästen (sicher Fichte); gesellig bis büschelig auf und in Verbindung mit Holz;
Fruchtkörper: bis 5 cm breit, breit birnenförmig, basal mit feinen weißen Myzelsträngen, frisch graubraun, Exoperidie dicht mit knapp 1 mm hohen schlank spitzkegeligen Stacheln besetzt, die abgewischt kein Netz, sondern nur feine Warzen hinterlassen; reife Fk olivbraun, immer noch fein stachelig-haarig, mit apikalem Porus; reife Gleba olivbraun; Subgleba aus feinen, runden, bis knapp 1 mm (meist schmaleren) breiten Waben; Mikromerkmale vom Exsikkat: Capillitium: vom Lycoperdon-Typ, eher nicht brüchig; Zellen spärlich verzweigt und unseptiert, ca. 1,5-5,5 µm breit, Wandstärke bis knapp 1 µm, mit zahlreichen, kleinen Poren; Sporen: rund, kurzstachelig (bis 0,5 µm hoch) und mit ca. 1 µm langem Apikulus, im Präparat nur sehr sporadisch mit möglichen Resten von abgebrochenen Sterigmen; Maße: 4,4 x 4,3 (3,8-4,7 x 3,8-4,6), Q=1,01; 20 Sp. gemessen;

Nr. 10: Lycoperdon muscorum Morgan

Zur Bestimmung: Mit Jeppson (2018) geschlüsselt. Das nah verwandte L. ericaeum wächst an trockeneren Standorten und hat viele kleine Poren in den Capillitium-Zellen. Die Fk sind etwas größer als in der Monografie beschrieben.

Foto Foto Foto Foto Foto Foto Foto Foto Foto Foto Foto

Funddaten: 20.10.2018; MTB 8134-3-2-3, 670 m; Koordinaten: 11° 22' 44,85'' E; 47° 50' 4,79'' N; D-By-Landkreis Bad-Tölz/Wolfratshausen, Gemeinde Eurasburg, Imbühl; ungedüngte Feuchtwiese über Würmmoräne oder Oberer Süßwassermolasse (Tertiär); gesellig im Gras, nicht weit entfernt eine Solitärfichte (ca. 10 Fk);
Fk bis 5 cm breit und 7,5 cm hoch, meist deutlich gestielt, selten pyriform, jung mit pyramidenförmigen, etwas flockigen Stacheln, die am Stiel gröber als am Hut ausgeprägt sind; reif mit apikaler, oft breit geschlitzter Öffnung; Subgleba stark ausgeprägt, wabig, höchstens mit Pseudodiaphragma; Mikromerkmale vom Exsikkat: Capillitium: am ehesten vom Lycoperdon-Typ, lange Hyphen, spärlich verzweigt, aber mit recht vielen Septen, mäßig fragil, vor allem an den Septen oft brechend, oft etwas wellig, aber kaum deutlich gebogen; Zellen ca. 2-6 µm breit, Wandstärke immer unter 1 µm, meist nicht über 0,5; Poren klein und sehr spärlich; Sporen: rund, mit 1-2 µm langem Apikulus, fein kurzstachelig, Stacheln unter 0,5 µm hoch, am ehesten Typ B oder knapp C; Maße: 4,7 x 4,7 (4,0-5,5 x 4,1-5,6), Q=1,01, 20 Sp. gemessen; keine Sterigmata-Debris beobachtet;

Nr. 11: Atheniella adonis (Bull.) Redhead & al.

Zur Bestimmung: Unkritisch. M. floridula ist meist 4-sporig und tendiert zu gelben Hutfarben.

Foto Foto Foto Foto Foto

Funddaten: 20.10.2018; MTB 8134-3-2-3, 670 m; D-By-Landkreis Bad-Tölz/Wolfratshausen, Gemeinde Eurasburg, Imbühl; ungedüngte Feuchtwiese über Würmmoräne oder Oberer Süßwassermolasse (Tertiär); in der moosigen Wiese, teils im Sphagnum; gesellig (ca. 10 Fk);
Hut: bis 1,2 cm breit, nur am Rand oder bis zum halben Radius durchscheinen gestreift, orangerot bis lachsorange, am Rand bisw. weiß, nie gelb; Stiel: bis 4 x 0,15 cm, glatt, glasig weiß; Lamellen: aufsteigend und mit Zahn angewachsen, rosa, zu den Schneiden hin weiß; Schneiden auffallend bewimpert (Stereolupe); Fleisch: siehe Schnittbild; Geruch: schwach; Mikromerkmale vom Exsikkat: Hymenialzystiden: flaschenförmig, mit langem schlankem Hals, glatt; Basidien: 2-sporig, ohne Schnallen; Sporen: ellipsoid, Maße: 8,0 x 4,8 (7,1-9,0 x 4,2-5,4), Q=1,64 (1,39-1,81), 30 Sp. gemessen (20 vom Abwurf, 10 am Hymenium);

Nr. 12: Simocybe cf. coniophora (Romagn.) Watling

Zur Bestimmung: Auf Grundlage der vorliegenden Literatur (FN, Hausknecht ÖZP 2012, Ludwig) kaum eindeutig zuzuordnen. Die winzigen crepidotoiden Fk passen eigentlich nur zu S. haustellaris und S. coniophora. S. haustellaris hat meist 2-sporige Basidien und eine HDS mit schlankeren Hyphen, S. coniophora hat nach Hausknecht anders geformte Pileozystiden und etwas kleinere Sporen ohne KP. Auch eine kleine Form von S. centunculus ist nicht gänzlich auszuschließen.

Foto Foto Foto Foto Foto Foto Foto Foto Foto Foto Foto Foto

Funddaten: 26.08.2018; MTB 8531-4-1-3, 1134 m NN; Koordinaten: 10,924114713780726 E; 47,427271770532194 N; Österreich, Tirol, Ehrwald, Waldgebiete nördlich des Hotels Thörle; Bergmischwald (Fichte, Buche, Tanne) über Plattenkalk (Blockschutt); auf der Rinde eines morschen, liegenden Buchenastes; zwei Fk dicht übereinander;
Hut: bis 9 mm breit, fächerförmig, seitlich gestielt (Crepidotus-Habitus), Oberfläche glatt und fein weiß bereift, trocken, Hutrand fein durchscheinend gestreift, hell olivbraun bis olivgrün; Stiel: kurz und gedrungen, gebogen, blass olivgrün, weißlich bereift; Lamellen: entfernt, sehr breit und bauchig, blass olivgrün, Schneiden weißflockig; Geruch: unbedeutend; Mikromerkmale vom Exsikkat: HDS: Cutis aus relativ kurz septierten, oft recht voluminösen, stark querstreifig inkrustierten Zellen, aus denen aufragende Pileozystiden entspringen; Cutiszellen ca. 5-9 µm breit; Pileozystiden sehr variabel, oft irregulär, subzylindrisch, wellig, oft kopfig, ca. 33-54 x 5-8; Lamellenschneide: steril, Cheilozystiden subzylindrisch, meist bauchig und fast immer kopfig, nicht selten etwas dickwandig, ca. 28-36 x 3,9-6,9 x 5-6,1 (Länge x Bauch x Kopf), mit Schnallen; Basidien: 4-sporig, mit Schnallen; Sporen: lateral subamygdaloid, apikal subkonisch und meist etwas verschmälert, in Aufsicht breit ovoid, mit winzigem Keimporus oder Kallus, in KOH ockergelb, dünnwandig, Maße: 6,9 x 4,7 (6,0-8,0 x 4,1-5,3), Q=1,46 (1,35-1,63), 20 Sp. gemessen;

Nr. 13: Amanita pantherina (DC.) Krombh.

Zur Bestimmung: Makroskopisch klar.

Foto Foto

Funddaten: 21.09.2018; MTB 8533-1-2-3, 1140 m; Koordinaten: 11,21226 E; 47,48345 N; D-By-Landkreis Garmisch-Partenkirchen, Gemeinde Krün, Klais, Mähwiesen und Fichtenwälder südlich des Aschenmooswalds, Mähwiese über Partnachkalk auf oberflächlich abgesauertem Boden; am Waldrand in der Wiese bei Fichte, ganzer Hexenring;
Beschreibung siehe Fotos!

Nr. 14: Clavariadelphus truncatus (Quel.) Donk

Zur Bestimmung: Makroskopisch klar.

Foto Foto

Funddaten: 26.09.2018; MTB 8033-4-1-4, 665 m, Koordinaten: 11,28234 E, 47,92996 NN; D – By – Landkreis Starnberg, Gemeinde Feldafing, Garatshausen, im Wald zwischen Feuchtwiese und Straße Garatshausen-Traubing; feuchter Mischwald (Fichte, Birke, Kiefer, Buche) über Würmmoräne; bei Fichte, Buche und Birke; gesellig (ca. 5 Fk);
Beschreibung siehe Fotos!

Nr. 15: Suillus cavipes (Klotzsch) A.H. Sm. & Thiers

Zur Bestimmung: Makroskopisch klar.

Foto Foto

Funddaten: 26.09.2018; MTB 8033-4-1-4, 690 m, Koordinaten: 11,27696 E, 47,92968 N; D – By – Landkreis Starnberg, Gemeinde Feldafing, Garatshausen, am Wanderpfad über die Kuppen nördlich des Pfaffenbergs; Mischwald (Fichte, Birke, Buche, Kiefer) über Würmmoräne; bei Lärche, gesellig (3 Fk);
Beschreibung siehe Fotos!