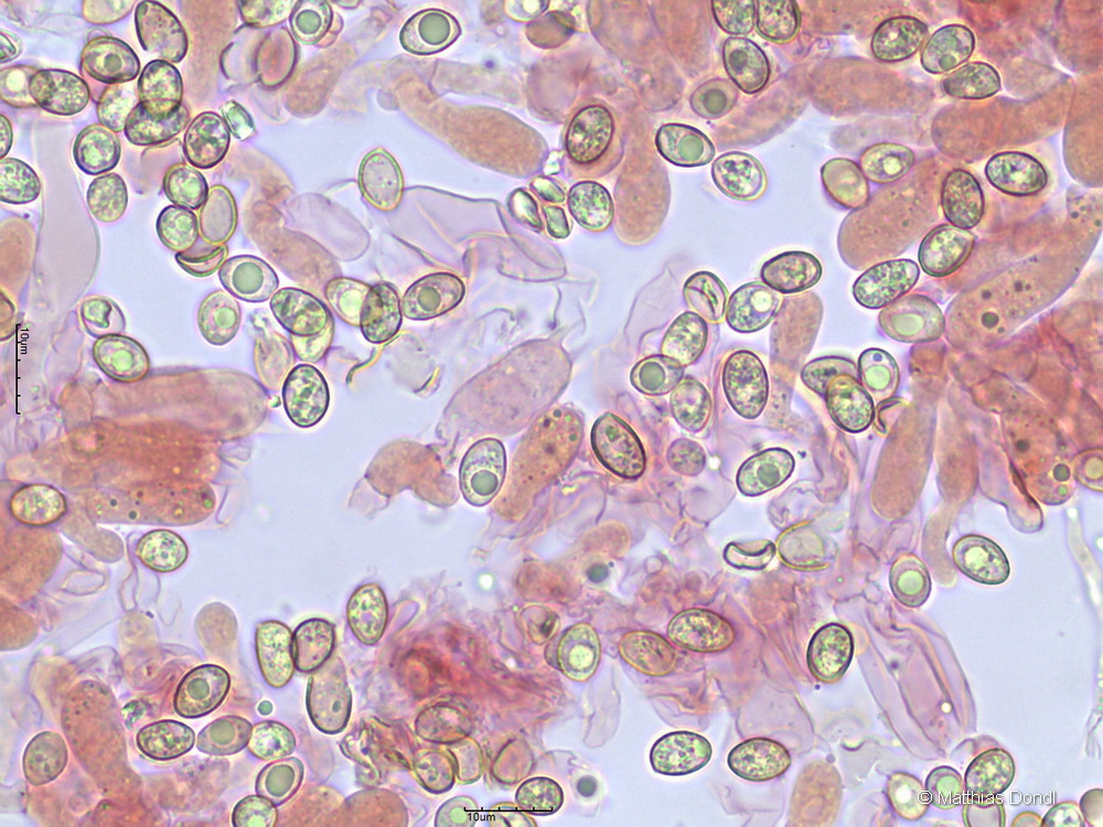
Crepidotus caspari Velen.
Sporen

Foto