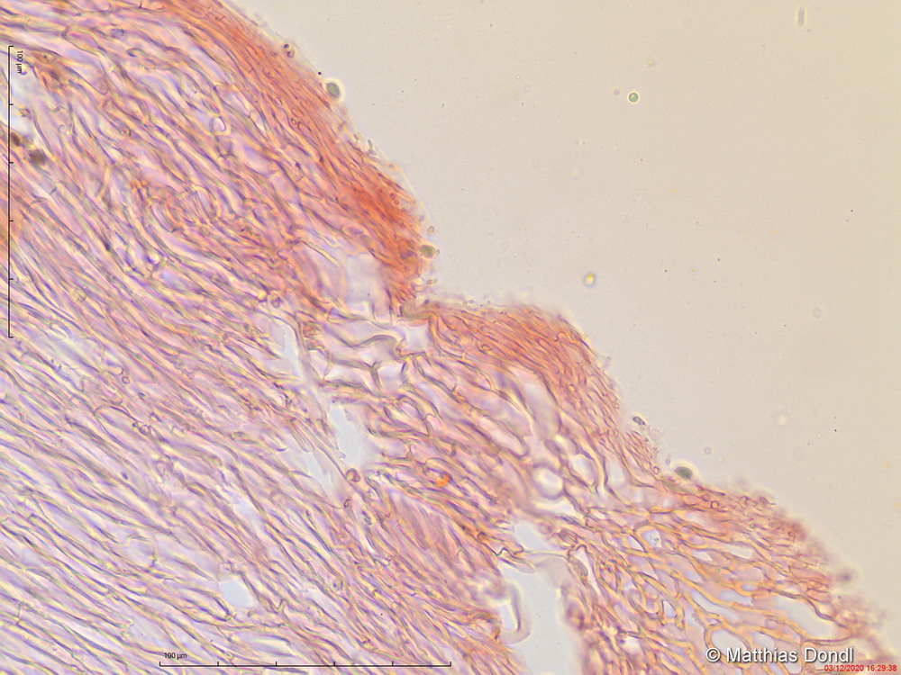
Mycena atropapillata Kühner & Maire
HDS

Foto