Amanita subnudipes (Romagn.) Tuloss
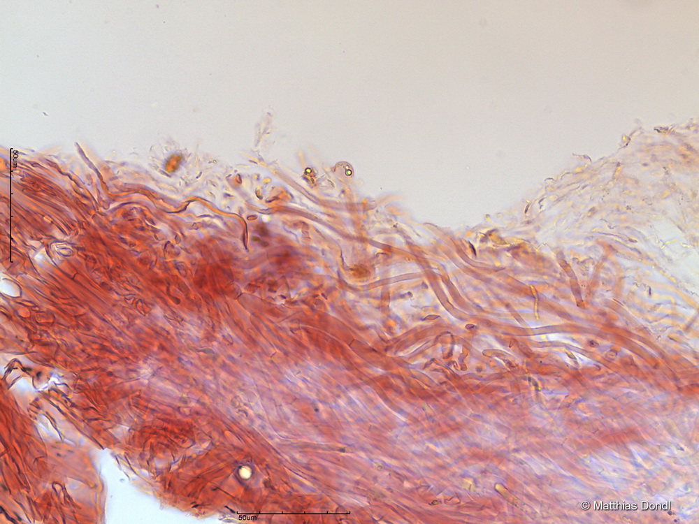
HDS

Foto