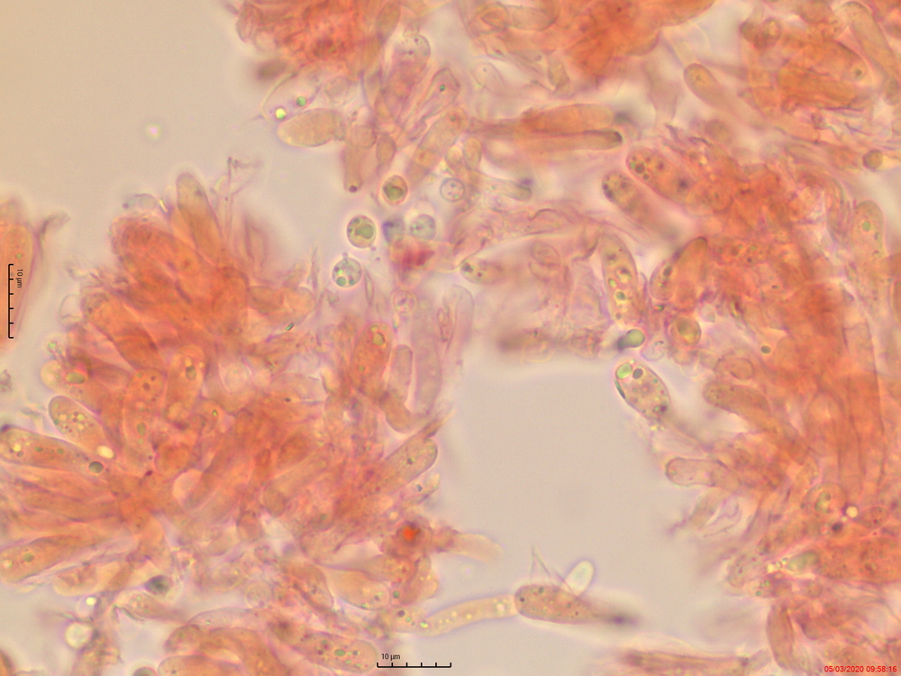
Tricholoma apium Jul. Schäff.
Hymenium und Sporen

Foto