Tricholomataceae 2019

Nr. 1: Clitocybe cf. vibecina (Fr.) Quél.

Zur Bestimmung: 2 Kollektionen in nur wenigen Metern Entfernung. Sehr wahrscheinlich konspezifisch mit der C. cf, vibecina vom 02.10.2018 aus Bernried (Trichlomataceae-2018-02) sowie mit der als C. cf. subcordispora abgelegten Kollektion vom 12.09.2010 (Tricholomataceae-2010-05). Lässt sich weder mit Gröger 2006 noch mit FN sinnvoll schlüsseln. C. vibecina wird meist mit größeren Sporen und zumindest am Rand gestreiften Hüten angegeben. Sicher keine C. vibecina ss. Ludwig, der viel größere, kongophile Sporen angibt. C. diosma ist in der Regel heller und hat kleinere Sporen. C. lohjänsis ist blasser gefärbt und hat durchscheinend gestreifte Hüte. C. subcordispora ist ohne Mehlgeruch, mit anders geformten Sporen und aus trockenen Nadelwäldern beschrieben.

Foto Foto Foto Foto Foto Foto Foto Foto Foto Foto Foto Foto

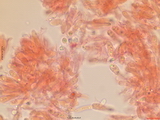
Funddaten: 14.09.2019; MTB 8032-2-4-2, 620 m; 47°57'47.42"N, 11° 9'32.77"E; D-By-Landkreis Starnberg, Gemeinde Andechs, Wartaweil; sehr feuchter Mischwald (Fichte, Weide, Erle, Ahorn, Buche) über Würmmoräne; bei Salweide, Erle, Ahorn und Fichte im Moos, gesellig (>10 Fk);
Hut: bis 5 cm breit, im Zentrum trichterig vertieft, Rand reif oft irregulär wellig oder gekerbt, trocken, glatt, düster olivbraun, nicht durchscheinend gestreift, schwach hygrophan; Stiel: bis 6,5 x 0,8 cm, basal schwach verjüngt und weißstriegelig, oft mit weißen Myzelrhizoiden, hohl, schmutzig cremegrau, etwas streifig; Lamellen: herablaufend, gedrängt, graubeige; Fleisch: siehe Schnittbild; Geruch: im Schnitt schwach ranzig-mehlig, sonst fast neutral; Sporenpulver: weiß; Mikromerkmale: HDS: Ixocutis, Zellen in den obersten Lagen teilweise gelifiziert, intakte Zellen (in Kongo sichtbar) in eine gelatinöse Matrix eingebettet, Zellen schmal und parallel, ca. 2,5-4 µm breit, in der obersten Lage oft irregulär, divertikuliert und mit aufsteigenden, teils verzweigten Endzellen, Pigment unauffällig; Subcutis aus dicht liegenden, schwach dickwandigen, ebenso schmalen Zellen, blass bräunlich pigmentiert (vermutlich interparietal), in der Huttrama darunter sind auch feinste Inkrustationen vorhanden; Schnallen zahlreich; Lamellenschneide: fertil; Lamellentrama: Zellen glatt, fast farblos, in dicker Schicht blass bräunlich, ohne Inkrustationen; Basidien: 4-sporig, mit Schnallen; ca. 22-26 x 5,5-6,5; Sporen: ellipsoid, apikal tendenziell etwas schmäler als basal, Apikulus groß, nicht kongophil; Maße: 5,1 x 3,5 (4,7-6,0 x 3,1-4,1), Q=1,48 (1,29-1,61), 30 Sp. gemessen;

Nr. 2: Clitocybe cf. lohjaënsis Harmaja

Zur Bestimmung: Mit FN und Gröger 2006 geschlüsselt. C. agrestis, diatreta und marginella hat Harmaja allesamt mit “pinkish-buff” Sporenpulver beschrieben, die fallen also raus. Stimmt ganz gut mit Harmajas Originalbeschreibung überein. Die nach Gröger 2006 recht ähnliche und im selben Schlüsselpaar aufgeführte C. diosma Einhellinger wächst nach Literatur wohl überwiegend in Laubwäldern (Auwald, Kalkbuchenwald). Marqua & Specht in ZMykol 79/1 (2013) stellen diesen Trichterling ausführlich vor, gehen aber nicht auf die Unterschiede zu C. lohjaensis ein. Auch bei Ludwig (2012) wird C. lohjaensis nicht einmal erwähnt.

Foto Foto Foto Foto Foto Foto Foto Foto Foto Foto

Funddaten: 09.11.2019; MTB 7934-1-1-2, 555 m; 11° 21' 22,29'' E, 48° 5' 46,89'' N; D – By – Landkreis Starnberg, Gemeinde Krailling, ehemaliges Pionierübungsgelände Krailling; Trockenrasen, Kiesfluren und halboffene Sukzessionsflächen über würmeiszeitlichen Schottern; an relativ offener, sehr magerer Stelle unter Kiefer in der Nadelstreu; gesellig (4 Fk); im ganzen Gelände häufig;
Hut: bis 3 cm breit, gewölbt und genabelt, trocken, glatt, beige bis graubeige, am Rand durchscheinend gestreift, hygrophan; Stiel: bis 3 x 0,4, basal verjüngt und weiß striegelig, graubeige, zur Basis hin dunkler olivgrau, bisw. auch apikal so; Lamellen: leicht herablaufend, gedrängt, cremebeige; Fleisch: siehe Schnittbild; im unteren Stieldrittel braun; Geruch: schwach aromatisch, vielleicht im Schnitt mit minimaler Mehlkomponente; Sporenpulver: weiß (Ia-Ib); Mikromerkmale vom Exsikkat: HDS: Ixocutis, Zellen in der obersten Lage zum Teil gelifiziert und stellenweise in eine in Kongo sichtbare gelatinöse Matrix eingebettet, intakte Zellen in der obersten Lage oft etwas knorrig, verzweigt oder divertikuliert und bisw. aufsteigend, sonst +/- parallel und locker liegend; Schnallen zahlreich; Pigment unauffällig, höchstens minimal feinst inkrustierend; Lamellenschneide: fertil; Basidien: 4-sporig, mit Schnallen; Sporen: regulär ellipsoid, nicht kongophil, kaum verklumpend, Maße: 5,0 x 3,3 (4,2-5,6 x 2,9-3,6), Q=1,51 (1,29-1,72), 30 Sp. gemessen;

Nr. 3: Clitocybe spec.

Zur Bestimmung: Bleibt unklar. Die holzbesiedelnde C. subbulbipes hat kleinere gedrungenere Sporen und inkrustierendes HDS-Pigment. Möglicherweise eine auf Holz verirrte C. metrachroa s.l.

Foto Foto Foto Foto Foto Foto Foto Foto Foto Foto

Funddaten: 18.10.2019; MTB 8135-4-3-2, 755 m; Koordinaten: 11° 37' 17,12'' E; 47° 49' 24,72'' N; D-By-Landkreis Bad-Tölz/Wolfratshausen, Gemeinde Sachsenkam, Kirchsee, Schelmbüchl; Mischwald (Tanne, Fichte, Buche) über Würmmoräne; unter Holunder auf morschem, bemoostem Laubholzast (möglicherweise Holunder); gesellig (3 Fk);
Hut: bis 3,8 cm breit, zentral vertieft, glatt, speckig glänzend, hell olivbraun, blassbraun, am Rand fein durchscheinend gestreift, hygrophan, cremegrau verblassend; Stiel: bis 3 x 0,4 cm, basal gleichdick, graubeige, weißlich überfasert; Lamellen: habituell herablaufend, aber am Stiel abgerundet, gedrängt, cremegrau; Fleisch: siehe Schnittbild; Geruch: aromatisch-fruchtig, vielleicht etwas zitrusartig; Sporenpulver: weißlich (Abwurf dünn); Mikromerkmale vom Exsikkat: HDS: Ixocutis, Zellen in den obersten Lagen stark gelifiziert, intakte schmal; Pigment in der Epicutis unauffällig, in der Subcutis blassbräunlich, vermutlich interparietal; Schnallen vorhanden; Lamellenschneide: fertil; Lamellentrama: Zellen glatt; Basidien: 4-sporig, mit Schnallen; Sporen: regulär ellipsoid, nicht verklumpend, nicht kongophil, Maße: 6,3 x 3,9 (5,3-7,8 x 3,6-4,6), Q=1,57 (1,43-1,70), 20 Sp. gemessen;

Nr. 4: Clitocybe phyllophila (Pers.: Fries) P. Kumm.

Zur Bestimmung: Bis der Artenkomplex geklärt ist, bleibe ich bei C. phyllophila für diesen Pilz. Durch die Literatur schwirrt noch C. cerussata und Ludwig (2012) schlägt für C. phyllophila mit "milchweißem" Sporenpulver C. krizii-josephi vor.

Foto Foto Foto Foto Foto Foto Foto Foto Foto

Funddaten: 01.11.2019; MTB 6024-1-2-4, 290 m; Koordinaten: 9° 44' 6,98'' E; 49° 58' 27'' N; D-By-Landkreis Main-Spessart, Gemeinde Karlstadt, Lange Lage; Buchenmischwald über Muschelkalk; bei alten Buchen in der Laubstreu; gesellig;
Hut: bis 6,5 cm breit, typisch firnisartig bereift, weiß; Lamellen: habituell schwach herablaufend, gedrängt, cremefarben; Stiel: bis 8 x 1 cm, basal spindelig oder verjüngt; Geruch: aromatisch pilzig; Sporenpulver: getrocknet und in dicker Schicht cremefarben (ca. IIa), ohne Rosaton; Mikromerkmale vom Exsikkat: HDS: ziemlich chaotische Cutis, Zellen intakt, nicht gelifiziert, zum Teil regulär parallel, in der obersten Lage oft irregulär knorrig, verzweigt oder divertikuliert, ziemlich breit und oft mit sehr großen Schnallen, keine auffällige Subcutis beobachtet; Pigment unauffällig; Lamellenschneide: fertil; Basidien: 4-sporig, mit Schnallen; ca. 19-22 x 5-5,5; Sporen: regulär ellipsoid, mit eher kleinem Apikulus, am Hymenium oft zu viert verklumpt (tetrads), im Abwurfpräparat in Kongo teils kollabiert und ebenfalls mit Neigung zum Verklumpen, schwach kongophil (im Präparat zunächst negativ, dann nach einigen Minuten rötlich einfärbend); Maße: 5,1 x 3,4 (4,3-6,2 x 3,0-4,0), Q=1,49 (1,26-1,69), 30 Sp. gemessen;

Nr. 5: Clitocybe candicans (Pers.: Fr.) P. Kumm.

Zur Bestimmung: Mit FN und Gröger (2006) geschlüsselt. Nadelwaldkollektion.

Foto Foto Foto Foto Foto Foto Foto Foto Foto Foto Foto

Funddaten: 27.09.2019; MTB 8533-4-1-1, 1010 m; 11° 15' 30,75'' E, 47° 26' 48,96'' N; D-By-Landkreis Garmisch-Partenkirchen, Gemeinde Mittenwald, Kranzberggebiet; Bergmischwald (Kiefer, Fichte, Buche) über Hauptdolomit; bei Fichte in der Nadelstreu und und auf Reisig, gesellig (>20 Fk); verges. mit Gymnopus confluens;
Hut: bis 3,8 cm breit, im Zentrum trichterig vertieft, mit schwach herabgebogenem Rand, trocken, glatt, cremefarben, sehr variabel weiß bereift, bisw. nur minimal, bisw. stark und dann typisch rinnig bereift; Stiel: bis 2 x 0,5 cm, recht kurz, im oberen Bereich oft mit Mittelfurche, apikal am dicksten, zur Basis hin verjüngt, hutfarben, schwach glasig, fast glatt, stellenweise schwach weiß überreift oder überfasert; Lamellen: habituell herablaufend (variabel stark), gedrängt, cremeweiß; Fleisch: siehe Schnittbild; Geruch: aromatisch obstig, wie säuerlicher Apfel; Sporenpulver: cremeweiß (Ib); Mikromerkmale vom Exsikkat: HDS: Ixocutis, Zellen in der obersten Lager locker liegend und zum Teil gelifiziert, aber nur mit undeutlicher Gelmatrix, teils irregulär divertikuliert oder mit Auswüchsen, ca. 1,5-3,5 µm breit, in der Subcutis ca. 3,5-5,5 µm breit und teils schwach dickwandig; Pigment unauffällig, aber in der Subcutis an schmalen Zellen sporadisch fein inkrustierend; Schnallen zahlreich; Lamellenschneide: fertil; Lamellentrama: Zellen glatt, mit Schnallen; Basidien: 4-sporig, nur relativ wenige mit Sterigmen zu sehen, mit Schnallen; Sporen: ellipsoid, apikal meist etwas schmäler als basal, Apikulus groß, im Abwurfpräparat ziemlich stark klumpend und viele kollabiert, nicht kongophil; Maße: 5,5 x 3,2 (4,3-6,5 [7] x 2,8-3,6), Q=1,70 (1,44-1,97), 30 Sp. gemessen

Nr. 6: Infundibulicybe gibba (Pers.) Harmaja

Zur Bestimmung: Sequenz (ITS): Liegt im Clade der europäischen Kollektionen von C. gibba ss. Vizzini et al. (2011) - A new taxon in the Infundibulicybe gibba complex (Basidiomycota, Agaricales, Tricholomataceae) from Sardinia (Italy). Die vermutete I. mediterranea hat eine sehr verschiedene ITS.

Foto Foto Foto Foto Foto Foto Foto Foto Foto Foto

Funddaten: 09.10.2019; Koordinaten/Höhe: 43°20'6.86"N, 12° 0'21.25"E; 580 m; Italien, Toskana, Castiglion Fiorentino, Cantalena; an der Forststraße am Nordhang des Nestortals zwischen den Ortschaften Toppo Moro und Panchigiano; auf einem feuchten Nebenpfad des Forstwegs im Eichenwald; bei Eiche in der Laubstreu;
Hut: bis 5 cm breit, trocken, matt, fein samtig, rotbraun, nicht hygrophan; Stiel: bis 2,5 x 0,5 cm, zäh, nur wenig heller als der Hut, streifig; Lamellen: herablaufend, mäßig gedrängt, cremefarben; Geruch: schwach aromatisch-pilzig, kein Mehl; Sporenpulver: cremeweiß (ca. Ib); Exsikkat: Lamellen cremefarben mit ockergelb verfärbten Schneiden; KOH am Hut hell olivbraun (deutlich vom braunen Hut abgesetzt, aber nicht dunkler, nach dem Abtrocknen nahezu gleichfarbig); Mikromerkmale vom Exsikkat: HDS: Cutis, Zellen intakt, nicht gelifiziert, ca. 3-7,5 µm breit, dickwandig, Pigment grob, aber blass gelbbraun querstreifig inkrustierend, möglicherweise auch mit blassgelbem intraparietalem Pigment, nur sporadisch auch diffus braun pigmentiert (iz?); Schnallen zahlreich; Lamellenschneide: fertil; Basidien: 4-sporig, mit Schnallen; Sterigmata auffallend lang; Maße: 19-31 x 5-6,5, Sterigmata reif bis 6,5 µm lang; Sporen: ellipsoid bis apfelkernförmig, basal meist verjüngt und gelegentlich mit suprahilarer Depression, wenig verklumpend, kongophil; Maße: 6,1 x 4,1 (5,2-6,9 x 3,7-4,5), Q=1,49 (1,31-1,70), 30 Sp. gemessen;

Nr. 7: Lepista martiorum (Favre) M. Bon

Zur Bestimmung: Auch makroskopisch klar.

Foto Foto Foto Foto

Funddaten: 03.10.2019; MTB 7935-3-1-2, 550 m; 11° 31' 17,41'' E, 48° 2' 49,49'' N; D-By-Landkreis München, Gemeinde Grünwald, östliche Isarleite; Buchenwald über mindeleiszeitlichen Deckenschottern und Hangrutschen (Nagelflu, meist Kalkstein); bei großen Buchen und unter Buchenverjüngung in der Laubstreu, in der Nähe auch ein großer Fichtenstumpf; gesellig (ca. 8 Fk);
Hut: bis gut 9 cm breit, irregulär gewölbt, trocken, matt, glatt, vor allem am Rand mit grau-weißer, etwas glimmeriger Bereifung, oft mit dunkleren Wasserflecken, variabel gefärbt, le-derbraun, graubraun; Stiel: bis 5 x 1,8 cm, zylindrisch, oft irregulär, fleischbräunlich; Lamellen: habituell bis bogig herablaufend, sehr gedrängt, eher schmal, vom Fleisch ablösbar, beige bis braunbeige; Fleisch: siehe Schnittbild; Geruch: mehlig, ohne ranzige, eher mit chemischer Komponente; Sporenpulver: lebhaft rosa, fleischrosa; Mikromerkmale vom Exsikkat: Sporen: schlank ellipsoid bis subzylindrisch, glatt, nicht kongophil, Maße: 4,7 x 2,5 (4,4-5,1 x 2,4-2,7), Q=1,88 (1,76-2,00), 20 Sp. gemessen;

Nr. 8: Tricholoma albobrunneum (Pers.: Fr.) P. Kumm.

Zur Bestimmung: Mit FNE4 geschlüsselt. Laut FNE4 hat T. stans viel gedrungenere Sporen (Qm bis maximal 1,31), im Schlüssel wird dieses Merkmal allerdings nicht verwendet. Die teilweise gerippten Hutränder und die farblich nicht deutlich abgesetzte Stielspitze würden eher für T. stans sprechen.

Foto Foto Foto Foto Foto Foto Foto

Funddaten: 27.09.2019; MTB 8533-4-1-1, 1030 m; 11° 15' 23,02'' E, 47° 26' 54,37'' N; D-By-Landkreis Garmisch-Partenkirchen, Gemeinde Mittenwald, Kranzberggebiet; Schneeheide-Kiefernwald mit Buchen über Hauptdolomit; bei Kiefer im relativ hohen Gras; gesellig (>15 Fk); verges. mit Suillus bovinus und Gomphidius roseus;
Hut: bis 10,5 cm breit, am Standort im feuchten Gras schleimig, nach Lagerung über Nacht im Kühlschrank weitgehend abgetrocknet, deutlich eingewachsen faserig, Fasern sehr fein und fast netzig und bisw. schwach erhaben, rehbraun, am Rand variabel, stark gerippt, kurz gerippt oder ungerippt, nur ein Fk stellenweise schwach getropft; Stiel: bi 7 x 2 cm, basal ausspitzend, apikal grob weiß beschürfelt, aber mit fließendem Übergang zu den schmutzige cremefarbenen bis blass bräunliche Stielpartien; Lamellen: mit Burggraben angewachsen, sehr gedrängt, cremeweiß, im Alter bräunlich fleckend; Fleisch: siehe Schnittbild; Geruch: stark mehlig; Geschmack: Huthaut schwach bitter, bald mehlig; Mikromerkmale vom Exsikkat: Sporen: ellipsoid bis subzylindrisch, Maße: 4,8 x 3,2 (4,2-5,2 x 2,9-3,4), Q=1,51 (1,31-1,65), 20 Sp. gemessen;

Nr. 9: Tricholoma acerbum (Bull.: Fr.) Quél.

Zur Bestimmung: Mit FNE4 geschlüsselt. Der Hutrand ist zwar ungerippt (was eher für T. roseoacerbum spricht), aufgrund der fehlenden Rosatöne am Hut sowie der relativ gedrungenen Sporen ist das aber doch eher T. acerbum.

Foto Foto Foto Foto Foto Foto

Funddaten: 09.10.2019; Koordinaten/Höhe: (grob geschätzt) 43°20'22.04"N, 12° 1'2.28"E; 500 m; Italien, Toskana, Castiglion Fiorentino, Cantalena; an der Forststraße am Nordhang des Nestortals zwischen den Ortschaften Toppo Moro und Panchigiano; an der Böschung bei Eiche; gesellig (ca. 8 Fk);
Hut: bis 12,4 cm breit, trocken, glatt, beige, Hutrand stets umgerollt, ungerippt; Stiel: bis 6 x 2,6, kompakt, in der oberen Hälfte feinschuppig bepustelt; Lamellen: mit Burggraben angewachsen, extrem gedrängt, cremefarben; Fleisch: weiß; Geruch: neutral, kein Mehl; Geschmack: bitterlich, unangenehm; Mikromerkmale vom Exsikkat: Sporen: breit ellipsoid, Maße: 4,8 x 3,7 (4,4-5,4 x 3,4-4,1), Q=1,30 (1,20-1,44), 20 Sp. gemessen (vom Abwurf);

Nr. 10: Tricholoma apium Jul. Schäff.

Zur Bestimmung: Mit FNE4 bestimmt.

Foto Foto Foto Foto Foto

Funddaten: 09.08.2019; Schweden, Värnarno, Store Mosse Nationalpark, Flechten-Kiefernwald auf Sanddüne, extrem nährstoffarm mit Preiselbeeren, im weiteren Umfeld auch mit einzelnen Birken; gesellig; leg. und Makrofotos Martin Zierhut;
Hut ca. 5-6 cm breit, ocker mit leichtem Gelbstich, Stiel weiß bis grau beschuppt und mit gelben Stellen, Fleisch weiß bis weißgrau; Mikromerkmale vom Exsikkat: Basidien: 4-sporig, ohne Schnallen; Sporen: subglobos, 4,3 x 3,6 (3,8-5,3 x 3,3-4,1), Q=1,19 (10 Sp. gemessen)