Pleurotaceae 2020

Nr. 1: Hohenbuehelia auriscalpium (Maire) Sing.

Zur Bestimmung: Mit Gröger (2006) und FN geschlüsselt.

Foto Foto Foto Foto Foto Foto Foto Foto Foto Foto

Funddaten: 27.08.2020; MTB 8136-4-3-1, 740 m; 11° 45' 35,98'' E, 47° 49' 15,25'' N; D – By – Landkreis Miesbach, Gemeinde Warngau, Taubenberg, Sulzgraben; Bergmischwald (Tanne, Fichte, Buche) über Oberer Süßwassermolasse (Mergel, Sandmergel und Konglomerate); auf finalmorschem, feucht liegendem Laubholzstamm (vermutlich Grauerle) unter Pestwurzblättern; gesellig (2 Fk);
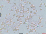
Hut: spatel- bis fächerförmig, bis 3,5 cm lang und bis 3,5 cm breit, auf cremebeigem bis cremegrauem Grund weiß überfilzt, bisw. auch komplett cremefarben bis cremeweiß; Stiel: übergangslos angesetzt und kurz, cremeweiß, weißfilzig; Lamellen: weit herablaufend, sehr gedrängt, stark untermischt, cremeweiß, reif oft mit beigem bis inkarnatem Ton; Fleisch: unter der Huthaut mit ca. 0,3 mm dicker Gelschicht, sonst weiß oder wässrig cremegrau, siehe Schnittbild; Geruch: im Schnitt schwach mehlig und etwas säuerlich; Mikromerkmale vom Exsikkat: HDS: Epicutis aus einer mehrere Lagen dicken Schicht stark verflochtener Zellen, mit schmalen, zylindrischen Endzellen, Zellbreite ca. 1,5-5 µm, Endzellen 2-3 µm breit, im Radialschnitt keine Pileozystiden und nur eine Metuloide (in mehreren Schnitten) gesehen; darunter eine ca. 150-250 µm dicke Gel-Schicht mit locker liegenden, aus der Trama meist aufsteigenden Hyphen, Zellen soweit intakt ca. 3-7,5 µm breit, bisw. mit feinen Inkrustationen, Schnallen überall vorhanden; Trama aus parallel und dicht liegenden schmalen Zellen; Cheilozystiden: an der Schneide sehr zahlreich, polymorph, zylindrisch bis bauchig oder keulig mit langem, oft abseptiertem Rostrum und runder Schleimkappe, ca. 21-33 x 3,6-5,1; Rostrum ca. 5,6-14 lang und ca. 1,5 µm breit, wenn septiert auch bis 19 lang; Metuloide: spindelig, apikal spitz und mit Kristallbesatz, dickwandig, an der Schneide etwas häufiger und kleiner als in der Fläche, ca. 48-69 x 9,5-13, Wandstärke 2,5-4 µm; Basidien: 4-sporig, mit Basalschnallen, 17-22 x 5-5,5, mit bis zu 5 µm langen Sterigmata; Sporen: regulär breit ellipsoid, farblos, nicht oder ganz schwach kongophil, Maße: 5,8 x 4,2 (5,3-6,6 x 3,7-5,0), Q=1,40 (1,29-1,61), 20 Sp. gemessen (vom Abwurf);