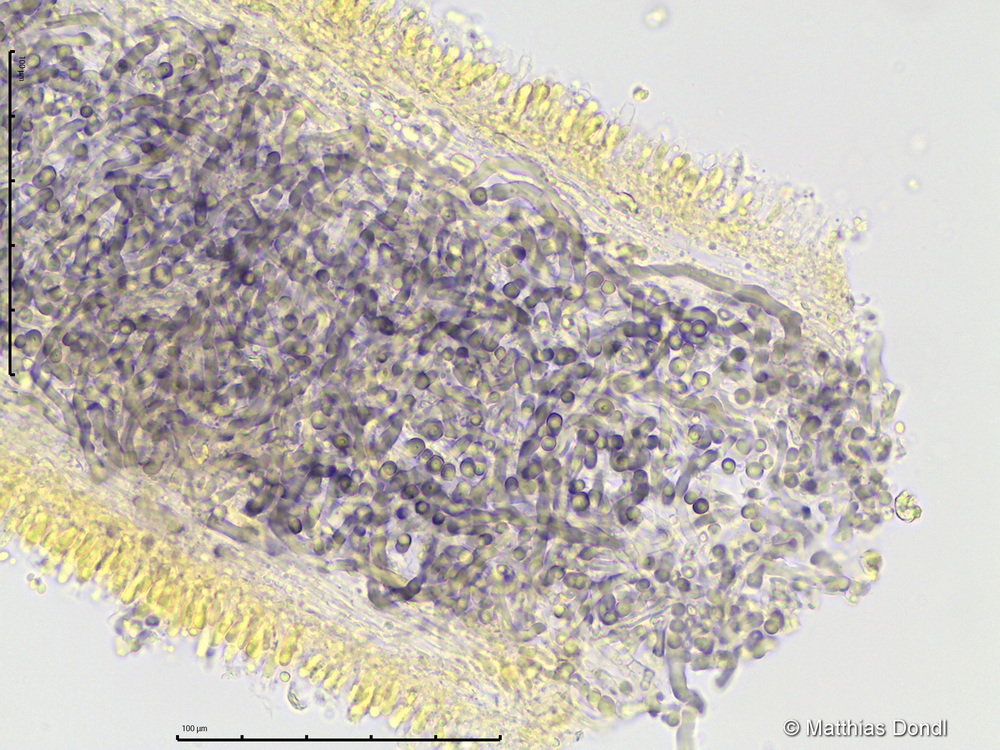
Lentinellus cf. castoreus (Secr.in Fr.) Kühner & R. Maire
Lamellentrama in Melzers

Foto