Entolomataceae 2024

Nr. 1: Entoloma mutabilipes Noordel. & Liiv

Zur Bestimmung: Durch ITS-Sequenzanalyse bestimmt.

Foto Foto Foto Foto Foto Foto Foto Foto

Funddaten: 31.08.2024; MTB 8432-2-4-1, 860 m; Koordinaten: 11° 8' 15,64'' E, 47° 34' 26,43'' N; D – By – Landkreis Garmisch-Partenkirchen, Gemeinde Oberau; Bergmischwald (Fichte, Buche, Bergahorn, kaum Tanne) über Hauptdolomit; an feuchter, grasig-moosiger Böschung (Schattseite); gesellig (5 Fk);
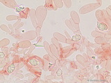
Hut: bis 2 cm breit, gewölbt und genabelt, ums Zentrum herum faserschuppig, sonst glatt, sehr blass cremebeige mit bräunlicher Mitte (nach Lagerung über Nacht deutlich dunkler und ziemlich einheitlich hellbraun bis kartonbraun), reif bis zum Scheitel durchscheinend gestreift; Stiel: bis 7,5 x 0,2 cm, basal gleichdick, glatt und kahl, „bunt“, im oberen Drittel mit zart olivgrünen bis olivgrauen Farben, zur Basis hin stahlgrau mit schwachem Blauton; Lamellen: breit angewachsen und bisw. mit Zahn kurz herablaufend, mäßig gedrängt, graubeige, Schneiden fein weißflockig und gleichfarbig; Fleisch: extrem dünn; Geruch: nicht signifikant; Mikromerkmale vom Exsikkat: Lamellenschneide: steril, Cheilozystiden überwiegend keulig, schlankkeulig, bisw. schlauchartig verlängert, selten utriform, sehr variabel in der Größe, Maße: 40 x 11 (20-74 x 8-15), Q=3,8 (20 gemessen); Basidien: überwiegend 2-sporig, seltener 3- oder 4-sporig, ca. 27-36 x 11-13 µm; Sporen: heterodiametrisch, mit 7-8, seltener 6 oder 9 gut bis mäßig stark ausgeprägten Ecken, Maße: 10,0 x 6,6 (9,0-10,9 x 6,1-7,2), Q=1,52 (1,40-1,68), 20 Sp. im Lamellenpräparat gemessen;

Nr. 2: Entoloma brunneoserrulatum Eyssart. & Noordel.

Zur Bestimmung: Ganz klar identisch mit Kollektion Nr. 3 vom selben Tag. Durch ITS-Sequenzanalyse bestimmt.

Foto Foto Foto Foto Foto Foto Foto Foto

Funddaten: 31.08.2024; MTB 8432-2-2-3, 865 m; Koordinaten: 11° 8' 20,14'' E, 47° 34' 34,1'' N; D – By – Landkreis Garmisch-Partenkirchen, Gemeinde Oberau; Bergmischwald (Fichte, Buche, Bergahorn, kaum Tanne) über Hauptdolomit; an feuchtem grasigem Wegrand; gesellig (3 Fk);
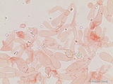
Hut: bis 2,3 cm breit, gewölbt und genabelt, bis zum Rand feinschuppig, nur alt zum Rand hin schwach durchscheinend gestreift, schwarzbraun mit schwachem Purpurton; Stiel: bis 5,5 x 0,2 cm, basal weißfilzig, stahlgrau mit schwachem Blaustich; Lamellen: breit angewachsen, mäßig gedrängt, graubeige, Schneiden ganz fein bewimpert bis glatt und gleichfarbig; Fleisch: extrem dünn, im Stiel weißlich; Geruch: im Schnitt merkwürdig süßlich; Mikromerkmale vom Exsikkat: Lamellenschneide: heterogen, in Clustern mit dicht stehenden Cheilozystiden, dazwischen zahlreiche Basidien; Cheilozystiden keulig bis (sub)zylindrisch, farblos, 16-32 x 5-13, im Mittel 20 x 9 µm; Basidien: überwiegend 2-sporig, eingestreut 3-sporig, ca. 29-34 x 10-11 µm; Sporen: heterodiametrisch, meist mit 8, seltener mit 7 oder 9 gut ausgeprägten Ecken, Maße: 12 x 7,8 (10,8-13,2 x 7,1-8,3), Q=1,54 (1,36-1,76), 20 Sp. im Lamellenpräpart gemessen;

Nr. 3: Entoloma brunneoserrulatum Eyssart. & Noordel.

Zur Bestimmung: Ganz klar identisch mit Kollektion Nr. 2 vom selben Tag.

Foto Foto Foto Foto Foto Foto Foto Foto

Funddaten: 31.08.2024; MTB 8432-2-2-4, 770 m; Koordinaten: 11° 8' 42,09'' E, 47° 34' 42,39'' N; D – By – Landkreis Garmisch-Partenkirchen, Gemeinde Oberau; Bergmischwald (Fichte, Buche, Bergahorn, kaum Tanne) über Hauptdolomit; an feuchter, grasiger Wegböschung auf finalmorschem Holz; gesellig (5 Fk);
Hut: bis 2,8 cm breit, gewölbt und genabelt, bis zum Rand feinschuppig, ungestreift, schwarzbraun mit schwachem Purpurton; Stiel: bis 5,5 x 0,2 cm, basal weißfilzig, bisw. mit Längsfurche, stahlgrau mit schwachem Blaustich; Lamellen: breit angewachsen, mäßig gedrängt, graubeige, Schneiden ganz fein bewimpert bis glatt und gleichfarbig; Fleisch: extrem dünn, im Stiel weißlich; Geruch: im Schnitt merkwürdig und etwas unangenehm süßlich; Mikromerkmale vom Exsikkat: Lamellenschneide: heterogen, mit vielen, oft büschelig angeordneten sterilen Zellen, die als Cheilozystiden interpretiert werden sollten (kaum ähnlich den Basidiolen), dazwischen auch viele Basidien eingemischt; Cheilozystiden zylindrisch bis schlank keulig, kurz, Maße 18-36 x 6-10, im Mittel 24 x 8 µm; Basidien: 2-sporig (bei 2 versch. Fk geprüft), ohne Schnallen; 30-39 x 9-11 mm; Sporen: heterodiametrisch, meist mit 7-8, seltener mit 6 oder 9 gut ausgeprägten Ecken; Maße: 11,1 x 8,1 (9,4-12,4 x 7,0-8,6), Q=1,38 (1,18-1,56), 20 Sporen vom Abwurf gemessen;

Nr. 4: Entoloma queletii (Boud.) Noordel.

Zur Bestimmung: Unkritisch. E. kervernii ist vermutlich Synonym.

Foto Foto Foto Foto Foto Foto Foto

Funddaten: 31.08.2024; MTB 8432-2-2-3, 765 m; Koordinaten: 11° 8' 37,12'' E, 47° 34' 36,01'' N; D – By – Landkreis Garmisch-Partenkirchen, Gemeinde Oberau; Bergmischwald (Fichte, Buche, Bergahorn, kaum Tanne) über Hauptdolomit; auf moosigem, nicht mal besonders feuchtem finalmorschem Fichtenstumpf; gesellig (ca. 10 Fk);
Hut: bis 1,8 cm breit, flach gewölbt, nicht oder nur ganz schwach genabelt, grobsamtig bis feinschuppig, ungestreift, beige, bei einem Fk sind am Foto deutliche Rosatöne am Hutrand zu sehen; Stiel: bis 4 x 0,3 cm, oft mit Längsfurche, basal weißfilzig, cremefarben, apikal fein bereift, sonst rau durch anliegende Beflockung; Lamellen: im Ansatz variabel, aufsteigend ausgebuchtet oder gerade und breit angewachsen, gedrängt, cremegrau bis cremebeige, Schneiden gleichfarbig und feinflockig; an verletzten Stellen gilbend; Fleisch: im Stiel an verletzten Stellen gilbend; Geruch: nicht signifikant; Mikromerkmale vom Exsikkat: Lamellenschneide: steril, vom Carneogriseum-Typ, mit aus der Trama entspringenden hyphigen Strukturen, Endzellen zylindrisch und meist sehr lang, in KOH im etwas schaumigem, grünlichgrauem Inhalt, aber +/- farblos, 5-10 µm breit;; Basidien: 2- und 4-sporig gemischt, ohne Schnallen; Sporen: heterodiametrisch, mit 5-7 gut ausgeprägten Ecken, 10,6 x 7,3 (10,1-11,8 x 6,7-7,8), Q=1,45 (10 Sp. im Lamellenpräparat gemessen);

Nr. 5: Entoloma noordeloosii Hauskn.

Zur Bestimmung: Durch ITS-Sequenzanalyse bestimmt.

Foto Foto Foto Foto Foto Foto Foto Foto Foto

Funddaten: 07.10.2024; 485 m NN; Koordinaten: 9° 17' 42,46'' E, 47° 6' 48,23'' N; Schweiz, Quarten, Mols, Raischibe; Mischwald (Buche, Eiche, Kiefer, Fichte, Stechpalme) über Oberen Tonschiefern (Helvetikum, Mergelstein); am Waldrand in der Wiese, bei Buche und Fichte; gesellig (ca. 20 Fk);
Hut: bis 5,7 cm, gewölbt, im Zentrum nie niedergedrückt, trocken und glatt, graubraun (jung dunkler, älter heller graubraun), nur ganz am Rand schwach durchscheinend gestreift; stark hygrophan; Stiel: bis 9 x 0,8 cm, basal verjüngt, schmutzig cremefarben; Lamellen: kurz ausgebuchtet und breit angewachsen, gedrängt, cremegrau, reif mit Rosaton; Fleisch: siehe Schnittbild; Geruch: im Schnitt nach Mehl; Mikromerkmale vom Exsikkat: HDS: Cutis, Zellen in der obersten Lage sehr schmal (teils auch kollabiert) und fein inkrustiert, Zellen darunter etwas breiter (gesamt ca. 2-7,5 µm breit) und blass (nur in Kongo sichtbar), aber deutlich quergestreift inkrustiert, stellenweise auch mit intrazellulärem blassbraunem Pigment, sonst farblos, mit Schnallen; Lamellenschneide: fertil; Lamellentrama: eher kurz septiert, Zellen z.B. 120 µm lang, mit Schnallen; Basidien: 4-sporig, mit Schnallen; Maße: 36-44 x 14-16 µm; Sporen: heterodiametrisch, mit 5-7 gut ausgeprägten Ecken, Maße: 9,4 x 7,5 (8,0-11,0 x 6,3-8,4), Q=1,26 (1,18-1,38), 20 Sp. vom Abwurf gemessen;

Nr. 6: Entoloma sericatum (Britzelm.) Sacc.

Zur Bestimmung: Sektion Rhodopolia. Durch ITS-Sequenzanalyse bestimmt.

Foto Foto Foto Foto Foto Foto Foto Foto Foto

Funddaten: 09.10.2024; 800 m NN; Koordinaten: 9° 12' 27,38'' E, 47° 5' 50,09'' N; Schweiz, Quarten Murg, Murgtal, Gelbberg, Rotlaui; Mischwald (Fichte, Buche, Tanne, Haselnuss, Ahorn, Weide) über Sandstein, undifferenziert (Psammit: Sandkorngrösse), Konglomerat und Brekzie, undifferenziert (Psephit, Korngrösse: Kies, Steine und Blöcke, roter Fels, Verrucano-Gruppe); an der Böschung bei Salweide und (weiter entfernt) Haselnuss; gesellig bis kleinbüschelig (ca. 10 Fk);
Hut: bis 5,8 cm breit, anfangs gewölbt mit weit herabgebogenem Rand, dann flach gewölbt, stets mit kleinem warzenförmigem Buckel, nie niedergedrückt, ganz jung kühl dunkelbraun bis olivbraun, bald graubraun bis khakigrau, trocken und glatt, hygrophan, vom Scheitel her cremegrau verblassend, nur am äußersten Rand schwach durchscheinend gestreift; Stiel: bis 11 x 1 cm, basal schwach verjüngt, cremegrau, längsfaserig; Lamellen: gerade angewachsen, normal gedrängt (ca. 48 erreichen den Stiel), cremegrau, zuletzt mit Rosastich; Fleisch: siehe Schnittbild; Geruch: schwach, sehr unterschiedlich beurteilt von nicht signifikant über schwach alkalisch bis etwas seifig; Mikromerkmale vom Exsikkat: HDS: Cutis, Zellen in der obersten Lage ca. 3-10 µm breit, mit Schnallen, Pigment doppelt, intrazellulär blassbraun und sehr blass quergestreift inkrustierend; Lamellenschneide: fertil; Lamellentrama: kurz septiert; Basidien: 4-sporig, mit Schnallen; Maße: 38-49 x 11-14 µm; Sporen: subisodiametrisch bis heterodiametrisch, mit 5-7 gut ausgeprägten Ecken, Maße: 8,8 x 7,2 (8,2-9,4 x 6,7-7,7), Q=1,22 (1,12-1,32), 20 Sp. vom Abwurf gemessen;

Nr. 7: Clitopilus cf. hobsonii (Berk.) P.D. Orton

Zur Bestimmung: Die vorliegende Kollektion hat intermediäre Sporenmaße, die für C. hobsonii ein bisschen zu klein und vor allem zu schmal sind. C. scyphoides var. reductus sollte noch schmälere Sporen unter 4 aufweisen.

Foto Foto Foto Foto

Funddaten: 09.06.2024; MTB 8034-1-2-3, 615 m; Koordinaten: 11° 22' 29,84'' E, 47° 58' 56,02'' N; D – By – Landkreis Starnberg, Gemeinde Berg, Manthal; Mischwald (Fichte, Buche, Bergahorn, Kiefer, Lärche, Hainbuche, Eiche) über würmzeitlicher Moräne; auf finalmorschem Holz (unklar, ob Nadel- oder Laubholz, eher Nadelholz); gesellig bis büschelig;
Fk: bis 1,5 cm breit, muschelförmig, meist mit kurzem gebogenen Stielchen (oft nur rudimentär) im Substrat verankert, jung komplett flaumig behaart, später zum Rand hin verkahlend und schwach durchscheinend gestreift, cremeweiß bis cremefarben; Lamellen: aufsteigend und schmal am Stiel angeheftet, entfernt (13-15 erreichen den Stiel), dicklich, cremefarben bis cremegelblich, Schneiden gleichfarbig und glatt; Fleisch und Geruch: nicht untersucht; Sporenpulver: Abwurf dünn, am ehesten cremeweißlich; Mikromerkmale vom Exsikkat: Lamellenschneide: fertil, ohne Zystiden; Basidien: 4-sporig, ohne Schnallen; Sporen: ellipsoid, in der Draufsicht schwach eckig, also längskantig, nicht kongophil, Maße: 6,9 x 4,3 (6,3-7,5 x 4,0-4,6), Q=1,60 (1,43-1,79), 20 Sp. vom Abwurf gemessen;

Nr. 8: Entoloma araneosum (Quél.) Mos.

Zur Bestimmung: Unkritisch.

Foto Foto Foto Foto Foto Foto

Funddaten: 13.10.2024; MTB 7935-2-2-2, 540 m NN; Koordinaten: 11° 39' 54,41'' E, 48° 5' 32,6'' N; D – By – München, Waldperlach; ehemaliges Kieswerk; Mischwald (Quercus, Acer, Picea) über hochwürmzeitlichen Schmelzwasserschottern; in gemischter Laub-Nadelstreu; gesellig (ca. 20 Fk);
Hut: bis 3,7 cm breit, kegelig bis ausgebreitet, meist mit deutlich vorgezogenem Buckel, auf graubraunem Grund mit cremefarbenem Velum grob überfilzt; Stiel: bis 7 x 0,5 cm, basal schwach verjüngt, schmutzig grau bis beigegrau, apikal fast flaumig beflockt, sonst weißlich überfasert; Lamellen: aufsteigend und mäßig breit bis schmal angewachsen, mäßig gedrängt (24-26 erreichen den Stiel, zum Grund hin stark queraderig, graubraun; Schneiden gleichfarbig und glatt; Fleisch: nahe und in der Stielbasis fast schwarz, siehe Schnittbild; Geruch: im Feld als mehlartig empfunden, zu Hause eher etwas unangenehm (Mottenkugel?); Mikromerkmale vom Exsikkat: HDS: Cutis, Zellen ca. 7-16 µm breit, etwas aufgeblasen; Pigment braun, grob quergestreift inkrustierend; Schnallen fehlend oder sehr selten (keine beobachtet); Lamellenschneide: steril; Cheilozystiden bauchig fusoid bis ballonförmig und überwiegend rostrat, sehr unterschiedlich groß, 37-75 x 11-31; Basidien: 4-sporig, ohne Schnallen, ca. 34-46 x 10-15 µm; Sporen: heterodiametrisch, mit 5-7 normal ausgeprägten Ecken; Maße: 11,7 x 7,6 (10,6-12,8 x 6,7-8,3), Q=1,55 (1,35-1,77), 20 Sp. vom Abwurf gemessen;

Nr. 9: Entoloma nidorosum (Fr.) Quél.

Zur Bestimmung: Unklar. Sequenzieren!

Foto Foto Foto Foto Foto Foto

Funddaten: 09.10.2024; 625 m NN; Koordinaten: 9° 12' 44,71'' E, 47° 6' 15,54'' N; Schweiz, Quarten Murg, Murgtal, Gelbberg; Mischwald (Fichte, Buche, Tanne, Haselnuss) über Murgtal-Formation (Glarner Verrucano, roter Fels; Blockschutt auf Lokalmoräne); an sticksstoffreicher Stelle zwischen Brombeeren, unter Haselnuss; gesellig (ca. 5 Fk);
Hut: bis 3,8 cm breit, jung gewölbt, später ausgebreitet und im Zentrum oft schwach niedergedrückt, ohne Buckel, trocken und glatt, graubeige, am Rand durchscheinend gestreift; hygrophan; Stiel: bis 6 x 0,4 cm, basal gleichdick, cremegrau; Lamellen: schwach aufsteigend und breit angewachsen, gedrängt (ca. 40 erreichen den Stiel), cremegrau, reif mit Rosaton; Fleisch: siehe Schnittbild; Geruch: schwach chlorartig (Schwimmbad); Mikromerkmale vom Exsikkat: HDS: Ixocutis, Zellen teilweise schwach gelifiziert und locker liegend; Pigment sehr diskret, weder intrazellulär noch inkrustierend; Schnallen vorhanden; Lamellenschneide: fertil; Lamellentrama: leider schlecht rauspräpariert, aber eher kurz septiert; Basidien: 4-sporig, mit Schnallen; ca. 31-42 x 11-13 µm; Sporen: subisodiametrisch, mit 5-6, selten 7 normal ausgeprägten Ecken, Maße: 7,8 x 6,8 (6,9-8,9 x 6,2-7,6), Q=1,16 (1,09-1,24), 20 Sp. vom Abwurf gemessen;