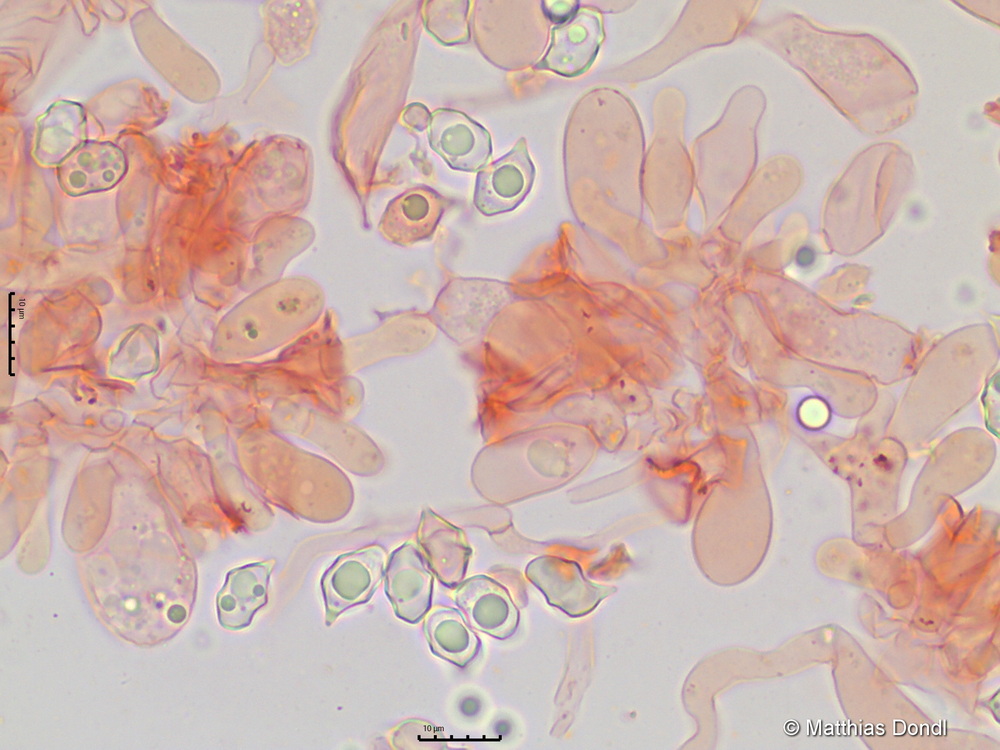
Entoloma mutabilipes Noordel. & Liiv
Sporen im Lamellenpräparat