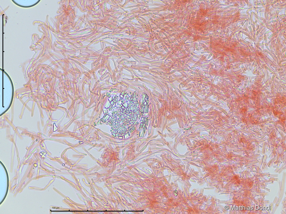
Ramaria fagetorum Maas Geest. ex Schild
Basalmyzel

Foto